产品中心
当前位置:首页>产品中心Anti-IMPDH1
货号: bs-6256R 基本售价: 1380.0 元 规格: 100ul
- 规格:100ul
- 价格:1380.00元
- 规格:200ul
- 价格:2200.00元
产品信息
- 产品编号
- bs-6256R
- 英文名称
- IMPDH1
- 中文名称
- 肌苷单磷酸脱氢酶1抗体
- 别 名
- IMDH1_HUMAN; IMP (inosine monophosphate) dehydrogenase 1; IMP dehydrogenase 1; IMPD 1; IMPD; IMPD1; IMPDH 1; IMPDH I; IMPDH-I; Impdh1; Inosine 5 monophosphate dehydrogenase 1; Inosine monophosphate dehydrogenase 1; Inosine-5-monophosphate dehydrogenase 1; Inosine-5-monophosphate dehydrogenase 1; LCA11; RP10.
- 规格价格
- 100ul/1380元购买 200ul/2200元购买 大包装/询价
- 说 明 书
- 100ul 200ul
- 研究领域
- 肿瘤 细胞生物 免疫学 染色质和核信号 信号转导
- 抗体来源
- Rabbit
- 克隆类型
- Polyclonal
- 交叉反应
- Human, Mouse, Rat, Dog, Pig, Cow, Rabbit, Guinea Pig,
- 产品应用
- WB=1:500-2000 ELISA=1:500-1000 IHC-P=1:400-800 IHC-F=1:400-800 IF=1:100-500 (石蜡切片需做抗原修复)
not yet tested in other applications.
optimal dilutions/concentrations should be determined by the end user.
- 分 子 量
- 55kDa
- 细胞定位
- 细胞核 细胞浆
- 性 状
- Lyophilized or Liquid
- 浓 度
- 1mg/ml
- 免 疫 原
- KLH conjugated synthetic peptide derived from human IMPDH1:301-400/599
- 亚 型
- IgG
- 纯化方法
- affinity purified by Protein A
- 储 存 液
- 0.01M TBS(pH7.4) with 1% BSA, 0.03% Proclin300 and 50% Glycerol.
- 保存条件
- Store at -20 °C for one year. Avoid repeated freeze/thaw cycles. The lyophilized antibody is stable at room temperature for at least one month and for greater than a year when kept at -20°C. When reconstituted in sterile pH 7.4 0.01M PBS or diluent of antibody the antibody is stable for at least two weeks at 2-4 °C.
- PubMed
- PubMed
- 产品介绍
- background:
The protein encoded by this gene acts as a homotetramer to regulate cell growth. The encoded protein is an enzyme that catalyzes the synthesis of xanthine monophosphate (XMP) from inosine-5-monophosphate (IMP). This is the rate-limiting step in the de novo synthesis of guanine nucleotides. Defects in this gene are a cause of retinitis pigmentosa type 10 (RP10). Several transcript variants encoding different isoforms have been found for this gene. [provided by RefSeq, Dec 2008].
Function:
Catalyzes the conversion of inosine 5-phosphate (IMP) to xanthosine 5-phosphate (XMP), the first committed and rate-limiting step in the de novo synthesis of guanine nucleotides, and therefore plays an important role in the regulation of cell growth. Could also have a single-stranded nucleic acid-binding activity and could play a role in RNA and/or DNA metabolism. It may also have a role in the development of malignancy and the growth progression of some tumors.
Subunit:
Homotetramer.
Subcellular Location:
Cytoplasm. Nucleus.
Tissue Specificity:
IMP type I is the main species in normal leukocytes and type II predominates over type I in the tumor.
DISEASE:
Retinitis pigmentosa 10 (RP10) [MIM:180105]: A retinal dystrophy belonging to the group of pigmentary retinopathies. Retinitis pigmentosa is characterized by retinal pigment deposits visible on fundus examination and primary loss of rod photoreceptor cells followed by secondary loss of cone photoreceptors. Patients typically have night vision blindness and loss of midperipheral visual field. As their condition progresses, they lose their far peripheral visual field and eventually central vision as well. Note=The disease is caused by mutations affecting the gene represented in this entry.
Leber congenital amaurosis 11 (LCA11) [MIM:613837]: A severe dystrophy of the retina, typically becoming evident in the first years of life. Visual function is usually poor and often accompanied by nystagmus, sluggish or near-absent papillary responses, photophobia, high hyperopia and keratoconus. Note=The disease is caused by mutations affecting the gene represented in this entry.
Similarity:
Belongs to the IMPDH/GMPR family.
Contains 2 CBS domains.
SWISS:
P20839
Gene ID:
3614
Database links:Entrez Gene: 3614 Human
Entrez Gene: 23917 Mouse
Entrez Gene: 362329 Rat
Omim: 146690 Human
SwissProt: P20839 Human
SwissProt: P50096 Mouse
SwissProt: D3ZLZ7 Rat
Unigene: 654401 Human
Unigene: 260707 Mouse
Unigene: 104925 Rat
Important Note:
This product as supplied is intended for research use only, not for use in human, therapeutic or diagnostic applications.
- 产品图片
Sample:
Jurkat(Human) Cell Lysate at 30 ug
K562(Human) cell Lysate at 30 ug
NIH/3T3(Mouse) Cell Lysate at 30 ug
Primary: Anti-IMPDH1 (bs-6256R) at 1/1000 dilution
Secondary: IRDye800CW Goat Anti-Rabbit IgG at 1/20000 dilution
Predicted band size: 55 kD
Observed band size: 55 kD
Sample:
Hela(Human) Cell Lysate at 30 ug
Primary: Anti-IMPDH1 (bs-6256R) at 1/1000 dilution
Secondary: IRDye800CW Goat Anti-Rabbit IgG at 1/20000 dilution
Predicted band size: 55 kD
Observed band size: 55 kD
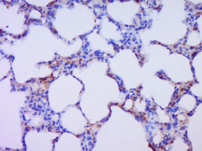
Paraformaldehyde-fixed, paraffin embedded (Rat lung); Antigen retrieval by boiling in sodium citrate buffer (pH6.0) for 15min; Block endogenous peroxidase by 3% hydrogen peroxide for 20 minutes; Blocking buffer (normal goat serum) at 37°C for 30min; Antibody incubation with (IMPDH1) Polyclonal Antibody, Unconjugated (bs-6256R) at 1:400 overnight at 4°C, followed by operating according to SP Kit(Rabbit) (sp-0023) instructionsand DAB staining.
Paraformaldehyde-fixed, paraffin embedded (Mouse testis); Antigen retrieval by boiling in sodium citrate buffer (pH6.0) for 15min; Block endogenous peroxidase by 3% hydrogen peroxide for 20 minutes; Blocking buffer (normal goat serum) at 37°C for 30min; Antibody incubation with (IMPDH1) Polyclonal Antibody, Unconjugated (bs-6256R) at 1:400 overnight at 4°C, followed by operating according to SP Kit(Rabbit) (sp-0023) instructionsand DAB staining.

