产品中心
当前位置:首页>产品中心Anti-SIPA1L2
货号: bs-7927R 基本售价: 1380.0 元 规格: 100ul
- 规格:100ul
- 价格:1380.00元
- 规格:200ul
- 价格:2200.00元
产品信息
- 产品编号
- bs-7927R
- 英文名称
- SIPA1L2
- 中文名称
- 信号诱导增殖相关蛋白1样蛋白2抗体
- 别 名
- SI1L2_HUMAN; Signal induced proliferation associated 1 like protein 2; Signal-induced proliferation-associated 1-like protein 2; SIPA1 like protein 2; SIPA1-like protein 2; SIPA1L2; SPAL2; KIAA1389.
- 规格价格
- 100ul/1380元购买 200ul/2200元购买 大包装/询价
- 说 明 书
- 100ul 200ul
- 研究领域
- 细胞生物 信号转导 细胞周期蛋白 细胞分化 G蛋白信号
- 抗体来源
- Rabbit
- 克隆类型
- Polyclonal
- 交叉反应
- Human, Mouse, Rat, Dog, Cow, Rabbit, Sheep,
- 产品应用
- WB=1:500-2000 ELISA=1:500-1000 IHC-P=1:400-800 IHC-F=1:400-800 IF=1:100-500 (石蜡切片需做抗原修复)
not yet tested in other applications.
optimal dilutions/concentrations should be determined by the end user.
- 分 子 量
- 190kDa
- 细胞定位
- 细胞核 细胞浆
- 性 状
- Lyophilized or Liquid
- 浓 度
- 1mg/ml
- 免 疫 原
- KLH conjugated synthetic peptide derived from human SIPA1L2:251-240/1722
- 亚 型
- IgG
- 纯化方法
- affinity purified by Protein A
- 储 存 液
- 0.01M TBS(pH7.4) with 1% BSA, 0.03% Proclin300 and 50% Glycerol.
- 保存条件
- Store at -20 °C for one year. Avoid repeated freeze/thaw cycles. The lyophilized antibody is stable at room temperature for at least one month and for greater than a year when kept at -20°C. When reconstituted in sterile pH 7.4 0.01M PBS or diluent of antibody the antibody is stable for at least two weeks at 2-4 °C.
- PubMed
- PubMed
- 产品介绍
- background:
SIPA1L2 is a 1,722 amino acid protein that contains one PDZ (DHR) domain and one Rap-GAP domain, and exists as two alternatively spliced isoforms. The gene that encodes SPA-L2 consists of approximately 163,594 bases and maps to human chromosome 1q42.2. Chromosome 1 is the largest human chromosome spanning about 260 million base pairs and making up 8% of the human genome. There are about 3,000 genes on chromosome 1, and considering the great number of genes there are also a large number of diseases associated with chromosome 1. Notably, the rare aging disease Hutchinson-Gilford progeria is associated with the LMNA gene which encodes lamin A. When defective, the LMNA gene product can build up in the nucleus and cause characteristic nuclear blebs. The MUTYH gene is located on chromosome 1 and is partially responsible for familial adenomatous polyposis. Stickler syndrome, Parkinsons, Gaucher disease and Usher syndrome are also associated with chromosome 1.
Similarity:
Contains 1 PDZ (DHR) domain.
Contains 1 Rap-GAP domain.
SWISS:
Q9P2F8
Gene ID:
57568
Database links:Entrez Gene: 57568Human
Entrez Gene: 361442Rat
Omim: 611609Human
SwissProt: Q9P2F8Human
SwissProt: Q80TE4Mouse
SwissProt: Q5JCS6Rat
Unigene: 268774Human
Unigene: 271668Mouse
Unigene: 463243Mouse
Unigene: 44190Rat
Important Note:
This product as supplied is intended for research use only, not for use in human, therapeutic or diagnostic applications.
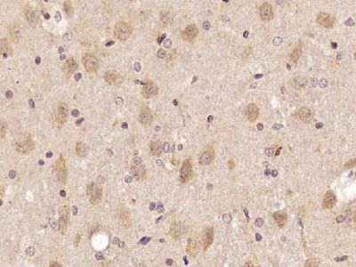
- 产品图片
Paraformaldehyde-fixed, paraffin embedded (Rat brain); Antigen retrieval by boiling in sodium citrate buffer (pH6.0) for 15min; Block endogenous peroxidase by 3% hydrogen peroxide for 20 minutes; Blocking buffer (normal goat serum) at 37°C for 30min; Antibody incubation with (SIPA1L2) Polyclonal Antibody, Unconjugated (bs-7927R) at 1:400 overnight at 4°C, followed by operating according to SP Kit(Rabbit) (sp-0023) instructionsand DAB staining.

