产品中心
当前位置:首页>产品中心Anti-JMY
货号: bs-7614R 基本售价: 1380.0 元 规格: 100ul
- 规格:100ul
- 价格:1380.00元
- 规格:200ul
- 价格:2200.00元
产品信息
- 产品编号
- bs-7614R
- 英文名称
- JMY
- 中文名称
- 连接介导调节蛋白抗体
- 别 名
- Jmy; JMY protein; JMY_HUMAN; junction mediating and regulatory protein; Junction-mediating and -regulatory protein; MGC163496; WAS protein homology region 2 domain containing 1-like 3; WHDC1L3.
- 规格价格
- 100ul/1380元购买 200ul/2200元购买 大包装/询价
- 说 明 书
- 100ul 200ul
- 研究领域
- 细胞生物 信号转导 细胞凋亡 转录调节因子 表观遗传学
- 抗体来源
- Rabbit
- 克隆类型
- Polyclonal
- 交叉反应
- Human, Mouse, Rat, Chicken, Dog, Pig, Cow, Horse, Rabbit, Sheep,
- 产品应用
- WB=1:500-2000 ELISA=1:500-1000 IHC-P=1:400-800 IHC-F=1:400-800 IF=1:100-500 (石蜡切片需做抗原修复)
not yet tested in other applications.
optimal dilutions/concentrations should be determined by the end user.
- 分 子 量
- 55, 111kDa
- 细胞定位
- 细胞核 细胞浆
- 性 状
- Lyophilized or Liquid
- 浓 度
- 1mg/ml
- 免 疫 原
- KLH conjugated synthetic peptide derived from human JMY:401-500/988
- 亚 型
- IgG
- 纯化方法
- affinity purified by Protein A
- 储 存 液
- 0.01M TBS(pH7.4) with 1% BSA, 0.03% Proclin300 and 50% Glycerol.
- 保存条件
- Store at -20 °C for one year. Avoid repeated freeze/thaw cycles. The lyophilized antibody is stable at room temperature for at least one month and for greater than a year when kept at -20°C. When reconstituted in sterile pH 7.4 0.01M PBS or diluent of antibody the antibody is stable for at least two weeks at 2-4 °C.
- PubMed
- PubMed
- 产品介绍
- background:
Acts both as a nuclear p53/TP53-cofactor and a cytoplasmic regulator of actin dynamics depending on conditions. In nucleus, acts as a cofactor that increases p53/TP53 response via its interaction with p300/EP300. Increases p53/TP53-dependent transcription and apoptosis, suggesting an important role in p53/TP53 stress response such as DNA damage. In cytoplasm, acts as a nucleation-promoting factor for both branched and unbranched actin filaments. Activates the Arp2/3 complex to induce branched actin filament networks. Also catalyzes actin polymerization in the absence of Arp2/3, creating unbranched filaments. Contributes to cell motility by controlling actin dynamics. May promote the rapid formation of a branched actin network by first nucleating new mother filaments and then activating Arp2/3 to branch off these filaments. The p53/TP53-cofactor and actin activator activities are regulated via its subcellular location.
Function:
Acts both as a nuclear p53/TP53-cofactor and a cytoplasmic regulator of actin dynamics depending on conditions. In nucleus, acts as a cofactor that increases p53/TP53 response via its interaction with p300/EP300. Increases p53/TP53-dependent transcription and apoptosis, suggesting an important role in p53/TP53 stress response such as DNA damage. In cytoplasm, acts as a nucleation-promoting factor for both branched and unbranched actin filaments. Activates the Arp2/3 complex to induce branched actin filament networks. Also catalyzes actin polymerization in the absence of Arp2/3, creating unbranched filaments. Contributes to cell motility by controlling actin dynamics. May promote the rapid formation of a branched actin network by first nucleating new mother filaments and then activating Arp2/3 to branch off these filaments. The p53/TP53-cofactor and actin activator activities are regulated via its subcellular location (By similarity).
Subunit:
Interacts with p300/EP300, the complex being recruited to activated p53/TP53. Interacts with TTC5 (By similarity).
Subcellular Location:
Nucleus (By similarity). Cytoplasm, cytoskeleton. Note=Localizes to the nucleus in most cell types. Accumulates in nucleus under DNA damage conditions, increasing p53/TP53 transcription response and reducing its influence on cell motility (By similarity). In primary neutrophils, it colocalizes with actin filaments at the leading edge and is excluded from the nucleus. Localization correlates with motility, because it moves from the nucleus to the cytoplasmic compartment when cells are differentiated from nonmotile cells into highly motile neutrophil-like cells.
Post-translational modifications:
Ubiquitinated by MDM2, leading to its subsequent degradation by the proteasome. In case of DNA damage, the interaction with MDM2 is altered, preventing degradation and allowing interaction with p300/EP300 and its function in p53/TP53 stress response (By similarity).
Similarity:
Belongs to the JMY family.
Contains 1 WH2 domain.
SWISS:
Q8N9B5
Gene ID:
133746
Database links:Entrez Gene: 133746 Human
Entrez Gene: 57748 Mouse
Omim: 604279 Human
SwissProt: Q8N9B5 Human
SwissProt: Q9QXM1 Mouse
Unigene: 482605 Human
Unigene: 390630 Mouse
Important Note:
This product as supplied is intended for research use only, not for use in human, therapeutic or diagnostic applications.
- 产品图片
Sample:
NIH/3T3(Mouse) Cell Lysate at 30 ug
Primary: Anti- JMY (bs-7614R) at 1/1000 dilution
Secondary: IRDye800CW Goat Anti-Rabbit IgG at 1/20000 dilution
Predicted band size: 55/111 kD
Observed band size: 111 kD
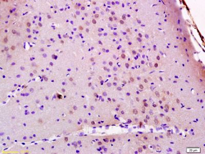
Tissue/cell: rat brain tissue; 4% Paraformaldehyde-fixed and paraffin-embedded;
Antigen retrieval: citrate buffer ( 0.01M, pH 6.0 ), Boiling bathing for 15min; Block endogenous peroxidase by 3% Hydrogen peroxide for 30min; Blocking buffer (normal goat serum,C-0005) at 37℃ for 20 min;
Incubation: Anti-JMY Polyclonal Antibody, Unconjugated(bs-7614R) 1:200, overnight at 4°C, followed by conjugation to the secondary antibody(SP-0023) and DAB(C-0010) staining

