产品中心
当前位置:首页>产品中心Anti-Sulfatase 2
货号: bs-3894R 基本售价: 1380.0 元 规格: 100ul
- 规格:100ul
- 价格:1380.00元
- 规格:200ul
- 价格:2200.00元
产品信息
- 产品编号
- bs-3894R
- 英文名称
- Sulfatase 2
- 中文名称
- 硫酸酯酶2蛋白抗体
- 别 名
- Extracellular sulfatase Sulf 2; HSulf2; SULF2; SULF-2; SULF 2.
- 规格价格
- 100ul/1380元购买 200ul/2200元购买 大包装/询价
- 说 明 书
- 100ul 200ul
- 研究领域
- 肿瘤 细胞生物 免疫学 染色质和核信号
- 抗体来源
- Rabbit
- 克隆类型
- Polyclonal
- 交叉反应
- Human, Mouse, Rat, Chicken, Dog, Pig, Cow, Rabbit,
- 产品应用
- WB=1:500-2000 ELISA=1:500-1000 IHC-P=1:400-800 IHC-F=1:400-800 IF=1:100-500 (石蜡切片需做抗原修复)
not yet tested in other applications.
optimal dilutions/concentrations should be determined by the end user.
- 分 子 量
- 93kDa
- 细胞定位
- 细胞浆 细胞膜 细胞外基质
- 性 状
- Lyophilized or Liquid
- 浓 度
- 1mg/ml
- 免 疫 原
- KLH conjugated synthetic peptide derived from human Sulfatase 2:651-750/870
- 亚 型
- IgG
- 纯化方法
- affinity purified by Protein A
- 储 存 液
- 0.01M TBS(pH7.4) with 1% BSA, 0.03% Proclin300 and 50% Glycerol.
- 保存条件
- Store at -20 °C for one year. Avoid repeated freeze/thaw cycles. The lyophilized antibody is stable at room temperature for at least one month and for greater than a year when kept at -20°C. When reconstituted in sterile pH 7.4 0.01M PBS or diluent of antibody the antibody is stable for at least two weeks at 2-4 °C.
- PubMed
- PubMed
- 产品介绍
- background:
Sulfatase 2 exhibits arylsulfatase activity and highly specific endoglucosamine-6-sulfatase activity. It can remove sulfate from the C-6 position of glucosamine within specific subregions of intact heparin. It is expressed at highest levels in the ovary, skeletal muscle, stomach, brain, uterus, heart, kidney and placenta.
Function:
Exhibits arylsulfatase activity and highly specific endoglucosamine-6-sulfatase activity. It can remove sulfate from the C-6 position of glucosamine within specific subregions of intact heparin.
Subcellular Location:
Endoplasmic reticulum. Golgi apparatus, Golgi stack. Cell surface. Note=Also localized on the cell surface.
Tissue Specificity:
Expressed at highest levels in the ovary, skeletal muscle, stomach, brain, uterus, heart, kidney and placenta.
Post-translational modifications:
The conversion to 3-oxoalanine (also known as C-formylglycine, FGly), of a serine or cysteine residue in prokaryotes and of a cysteine residue in eukaryotes, is critical for catalytic activity.
SWISS:
Q8IWU5
Gene ID:
55959
Database links:Entrez Gene: 55959 Human
Entrez Gene: 72043 Mouse
SwissProt: Q8IWU5 Human
SwissProt: Q8CFG0 Mouse
Unigene: 162016 Human
Unigene: 1011 Mouse
Important Note:
This product as supplied is intended for research use only, not for use in human, therapeutic or diagnostic applications.
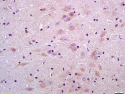
- 产品图片
Tissue/cell: rat brain tissue; 4% Paraformaldehyde-fixed and paraffin-embedded;
Antigen retrieval: citrate buffer ( 0.01M, pH 6.0 ), Boiling bathing for 15min; Block endogenous peroxidase by 3% Hydrogen peroxide for 30min; Blocking buffer (normal goat serum,C-0005) at 37℃ for 20 min;
Incubation: Anti-Sulfatase 2 Polyclonal Antibody, Unconjugated(bs-3894R) 1:200, overnight at 4°C, followed by conjugation to the secondary antibody(SP-0023) and DAB(C-0010) staining

