产品中心
当前位置:首页>产品中心Anti-Phospho-MSK1 (Ser212)
货号: bs-3282R 基本售价: 1580.0 元 规格: 100ul
产品信息
- 产品编号
- bs-3282R
- 英文名称
- Phospho-MSK1 (Ser212)
- 中文名称
- 磷酸化有丝分裂原和应激活化型蛋白激酶1抗体
- 别 名
- MSK1 (phospho S212); MSK1 (Phospho Ser212); 90 kDa ribosomal protein S6 kinase 5; EC 2.7.11.1; KS6A5_HUMAN; MGC1911; Mitogen and stress activated protein kinase 1; MSPK1; Nuclear Mitogen And Stress Activated Protein Kinase 1; Nuclear mitogen- and stress-activated protein kinase 1; Ribosomal protein S6 kinase 90kD polypeptide 5; Ribosomal protein S6 kinase 90kDa; Ribosomal protein S6 kinase 90kDa polypeptide 5; Ribosomal Protein S6 Kinase Alpha 5; Ribosomal protein S6 kinase alpha-5; RLPK; RPS6KA5; RSK Like Protein Kinase; RSK-like protein kinase; RSKL; S6K alpha 5; S6K-alpha-5.
- 规格价格
- 100ul/1580元购买 大包装/询价
- 说 明 书
- 100ul
- 产品类型
- 磷酸化抗体
- 研究领域
- 细胞生物 免疫学 染色质和核信号 信号转导 转录调节因子 激酶和磷酸酶 新陈代谢 表观遗传学
- 抗体来源
- Rabbit
- 克隆类型
- Polyclonal
- 交叉反应
- Human, Mouse, Rat, Chicken, Dog, Pig, Cow, Horse, Rabbit,
- 产品应用
- WB=1:500-2000 ELISA=1:500-1000 IHC-P=1:400-800 IHC-F=1:400-800 IF=1:100-500 (石蜡切片需做抗原修复)
not yet tested in other applications.
optimal dilutions/concentrations should be determined by the end user.
- 分 子 量
- 90kDa
- 细胞定位
- 细胞核
- 性 状
- Lyophilized or Liquid
- 浓 度
- 1mg/ml
- 免 疫 原
- KLH conjugated synthesised phosphopeptide derived from human MSK1 around the phosphorylation site of Ser212:AY(p-S)FC
- 亚 型
- IgG
- 纯化方法
- affinity purified by Protein A
- 储 存 液
- 0.01M TBS(pH7.4) with 1% BSA, 0.03% Proclin300 and 50% Glycerol.
- 保存条件
- Store at -20 °C for one year. Avoid repeated freeze/thaw cycles. The lyophilized antibody is stable at room temperature for at least one month and for greater than a year when kept at -20°C. When reconstituted in sterile pH 7.4 0.01M PBS or diluent of antibody the antibody is stable for at least two weeks at 2-4 °C.
- PubMed
- PubMed
- 产品介绍
- background:
MSK1 is a mitogen and stress activated protein kinase 1 which belongs to the AGC family of kinases and is related in structure to the ribosomal p70 S6 kinase subfamily. MSK1 can be activated by ERK1/2 and SAPK2/p38 MAP kinase. It is also known to be required for the phosphorylation of CREB, ATF1 H3 and HMG14 in response to mitogen and stress. Similar to RSK, MSK1 contains two kinase domains (N term and a C term). Once phosphorylated on Thr581 and Ser360 by ERK1/2 and SAPK2/p38, MSK1 autophosphorylate on at least 5 sites. Of these autophosphorylation sites Ser212 and Ser376 get phosphorylated by the C terminal kinase domain of MSK1 which is essential for the catalytic activity of the N terminal kinase domain.
Function:
Serine/threonine-protein kinase that is required for the mitogen or stress-induced phosphorylation of the transcription factors CREB1 and ATF1 and for the regulation of the transcription factors RELA, STAT3 and ETV1/ER81, and that contributes to gene activation by histone phosphorylation and functions in the regulation of inflammatory genes. Phosphorylates CREB1 and ATF1 in response to mitogenic or stress stimuli such as UV-C irradiation, epidermal growth factor (EGF) and anisomycin. Plays an essential role in the control of RELA transcriptional activity in response to TNF and upon glucocorticoid, associates in the cytoplasm with the glucocorticoid receptor NR3C1 and contributes to RELA inhibition and repression of inflammatory gene expression. In skeletal myoblasts is required for phosphorylation of RELA at Ser-276 during oxidative stress. In erythropoietin-stimulated cells, is necessary for the Ser-727 phosphorylation of STAT3 and regulation of its transcriptional potential. Phosphorylates ETV1/ER81 at Ser-191 and Ser-216, and thereby regulates its ability to stimulate transcription, which may be important during development and breast tumor formation. Directly represses transcription via phosphorylation of Ser-1 of histone H2A. Phosphorylates Ser-10 of histone H3 in response to mitogenics, stress stimuli and EGF, which results in the transcriptional activation of several immediate early genes, including proto-oncogenes c-fos/FOS and c-jun/JUN. May also phosphorylate Ser-28 of histone H3. Mediates the mitogen- and stress-induced phosphorylation of high mobility group protein 1 (HMGN1/HMG14). In lipopolysaccharide-stimulated primary macrophages, acts downstream of the Toll-like receptor TLR4 to limit the production of pro-inflammatory cytokines. Functions probably by inducing transcription of the MAP kinase phosphatase DUSP1 and the anti-inflammatory cytokine interleukin 10 (IL10), via CREB1 and ATF1 transcription factors. Plays a role in neuronal cell death by mediating the downstream effects of excitotoxic injury.
Subunit:
Forms a complex with either MAPK1/ERK2 or MAPK3/ERK1 in quiescent cells which transiently dissociates following mitogenic stimulation. Also associates with MAPK14/p38-alpha. Activated RPS6KA5 associates with and phosphorylates the NF-kappa-B p65 subunit RELA. Interacts with CREBBP and EP300.
Subcellular Location:
Nucleus. Cytoplasm. Note=Predominantly nuclear. Exported into cytoplasm in response to glucocorticoid.
Tissue Specificity:
Widely expressed with high levels in heart, brain and placenta. Less abundant in lung, kidney and liver.
Post-translational modifications:
Ser-376 and Thr-581 phosphorylation is required for kinase activity. Ser-376 and Ser-212 are autophosphorylated by the C-terminal kinase domain, and their phosphorylation is essential for the catalytic activity of the N-terminal kinase domain. Phosphorylated at Ser-360, Thr-581 and Thr-700 by MAPK1/ERK2, MAPK3/ERK1 and MAPK14/p38-alpha. Autophosphorylated at Ser-750, Ser-752 and Ser-758 by the N-terminal kinase domain.
Similarity:
Belongs to the protein kinase superfamily. AGC Ser/Thr protein kinase family. S6 kinase subfamily.
Contains 1 AGC-kinase C-terminal domain.
Contains 2 protein kinase domains.
SWISS:
O75582
Gene ID:
9252
Database links:Entrez Gene: 9252Human
Entrez Gene: 73086Mouse
Entrez Gene: 314384Rat
Omim: 603607Human
SwissProt: O75582Human
SwissProt: Q8C050Mouse
Unigene: 510225Human
Unigene: 220417Mouse
Unigene: 392855Mouse
Unigene: 8940Rat
Important Note:
This product as supplied is intended for research use only, not for use in human, therapeutic or diagnostic applications.
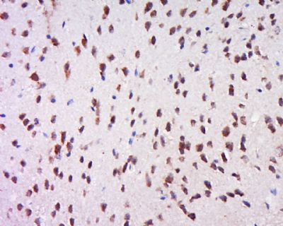
- 产品图片
Tissue/cell: Rat brain tissue; 4% Paraformaldehyde-fixed and paraffin-embedded;
Antigen retrieval: citrate buffer ( 0.01M, pH 6.0 ), Boiling bathing for 15min; Block endogenous peroxidase by 3% Hydrogen peroxide for 30min; Blocking buffer (normal goat serum,C-0005) at 37℃ for 20 min;
Incubation: Anti-phospho-MSK1 Polyclonal Antibody, Unconjugated(bs-3282R) 1:500, overnight at 4°C, followed by conjugation to the secondary antibody(SP-0023) and DAB(C-0010) staining

