产品中心
当前位置:首页>产品中心Anti-phospho-ASK1 (Ser966)
货号: bs-3007R 基本售价: 1580.0 元 规格: 100ul
产品信息
- 产品编号
- bs-3007R
- 英文名称
- phospho-ASK1 (Ser966)
- 中文名称
- 磷酸化细胞凋亡信号调节激酶1抗体
- 别 名
- ASK1 (phospho S966); p-ASK1 (phospho S966); ASK1(Phospho-Ser966); Mitogen-activated protein kinase kinase kinase 5; MAPK/ERK kinase kinase 5; MEK kinase 5; MEKK 5; Apoptosis signal-regulating kinase 1; ASK-1; MAP3K5; ASK1; MAPKKK5; MEKK5; M3K5_HUMAN.
- 规格价格
- 100ul/1580元购买 大包装/询价
- 说 明 书
- 100ul
- 产品类型
- 磷酸化抗体
- 研究领域
- 肿瘤 细胞生物 信号转导 细胞凋亡 激酶和磷酸酶
- 抗体来源
- Rabbit
- 克隆类型
- Polyclonal
- 交叉反应
- Human, Mouse, Rat, Chicken, Dog, Horse,
- 产品应用
- WB=1:500-2000 ELISA=1:500-1000 IHC-P=1:400-800 (石蜡切片需做抗原修复)
not yet tested in other applications.
optimal dilutions/concentrations should be determined by the end user.
- 分 子 量
- 152kDa
- 细胞定位
- 细胞浆
- 性 状
- Lyophilized or Liquid
- 浓 度
- 1mg/ml
- 免 疫 原
- KLH conjugated Synthesised phosphopeptide derived from human ASK1 around the phosphorylation site of Ser966:SI(p-S)LP
- 亚 型
- IgG
- 纯化方法
- affinity purified by Protein A
- 储 存 液
- 0.01M TBS(pH7.4) with 1% BSA, 0.03% Proclin300 and 50% Glycerol.
- 保存条件
- Store at -20 °C for one year. Avoid repeated freeze/thaw cycles. The lyophilized antibody is stable at room temperature for at least one month and for greater than a year when kept at -20°C. When reconstituted in sterile pH 7.4 0.01M PBS or diluent of antibody the antibody is stable for at least two weeks at 2-4 °C.
- PubMed
- PubMed
- 产品介绍
- background:
Mitogen-activated protein kinase (MAPK) signaling cascades include MAPK or extracellular signal-regulated kinase (ERK), MAPK kinase (MKK or MEK), and MAPK kinase kinase (MAPKKK or MEKK). MAPKK kinase/MEKK phosphorylates and activates its downstream protein kinase, MAPK kinase/MEK, which in turn activates MAPK. The kinases of these signaling cascades are highly conserved, and homologs exist in yeast, Drosophila, and mammalian cells. MAPKKK5 contains 1,374 amino acids with all 11 kinase subdomains. Northern blot analysis shows that MAPKKK5 transcript is abundantly expressed in human heart and pancreas. The MAPKKK5 protein phosphorylates and activates MKK4 (aliases SERK1, MAPKK4) in vitro, and activates c-Jun N-terminal kinase (JNK)/stress-activated protein kinase (SAPK) during transient expression in COS and 293 cells; MAPKKK5 does not activate MAPK/ERK.
Function:
Component of a protein kinase signal transduction cascade. Phosphorylates and activates MAP2K4 and MAP2K6, which in turn activate the JNK and p38 MAP kinases, respectively. Overexpression induces apoptotic cell death.
Tissue Specificity:
Abundantly expressed in heart and pancreas.
Post-translational modifications:
Phosphorylated at Thr-838 through autophosphorylation and by MAP3K6/ASK2 which leads to activation. Thr-838 is dephosphorylated by PPP5C. Ser-83 and Ser-1033 are inactivating phosphorylation sites, the former of which is phosphorylated by AKT1 and AKT2. Phosphorylated at Ser-966 which induces association of MAP3K5/ASK1 with the 14-3-3 family proteins and suppresses MAP3K5/ASK1 activity. Calcineurin (CN) dephosphorylates this site. Also dephosphorylated and activated by PGAM5.
Ubiquitinated. Tumor necrosis factor (TNF) induces TNFR2-dependent ubiquitination leading to proteasomal degradation.
Similarity:
Belongs to the protein kinase superfamily.
STE Ser/Thr protein kinase family.
MAP kinase kinase kinase subfamily.
SWISS:
Q99683
Gene ID:
4217
Database links:Entrez Gene: 4217Human
Entrez Gene: 26408Mouse
Omim: 602448Human
SwissProt: Q99683Human
SwissProt: O35099Mouse
Unigene: 186486Human
Unigene: 6595Mouse
Important Note:
This product as supplied is intended for research use only, not for use in human, therapeutic or diagnostic applications.
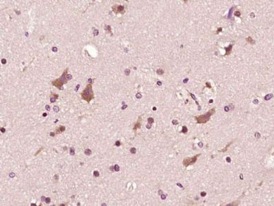
- 产品图片
Paraformaldehyde-fixed, paraffin embedded (Human brain glioma); Antigen retrieval by boiling in sodium citrate buffer (pH6.0) for 15min; Block endogenous peroxidase by 3% hydrogen peroxide for 20 minutes; Blocking buffer (normal goat serum) at 37°C for 30min; Antibody incubation with (phospho-ASK1 (Ser966)) Polyclonal Antibody, Unconjugated (bs-3007R) at 1:400 overnight at 4°C, followed by operating according to SP Kit(Rabbit) (sp-0023) instructionsand DAB staining.

