产品中心
当前位置:首页>产品中心Anti-CD158D
货号: bs-2643R 基本售价: 1380.0 元 规格: 100ul
- 规格:100ul
- 价格:1380.00元
- 规格:200ul
- 价格:2200.00元
产品信息
- 产品编号
- bs-2643R
- 英文名称
- CD158D
- 中文名称
- NK细胞抑制性受体2DL4抗体
- 别 名
- Killer cell immunoglobulin-like receptor 2DL4; MHC class I NK cell receptor KIR103AS; KIR103; CD158d; CD158 antigen like family member D; CD158D; G9P; Killer cell immunoglobulin like receptor, two domains, long cytoplasmic tail, 4 ; Killer cell inhibitory receptor 103AS; KIR 103AS; KIR103AS; NK cell receptor; natural killer cell inhibitory receptor; KI2L4_HUMAN.
- 规格价格
- 100ul/1380元购买 200ul/2200元购买 大包装/询价
- 说 明 书
- 100ul 200ul
- 研究领域
- 免疫学
- 抗体来源
- Rabbit
- 克隆类型
- Polyclonal
- 交叉反应
- Human,
- 产品应用
- WB=1:500-2000 ELISA=1:500-1000 IHC-P=1:400-800 IHC-F=1:400-800 IF=1:100-500 (石蜡切片需做抗原修复)
not yet tested in other applications.
optimal dilutions/concentrations should be determined by the end user.
- 分 子 量
- 39kDa
- 细胞定位
- 细胞膜
- 性 状
- Lyophilized or Liquid
- 浓 度
- 1mg/ml
- 免 疫 原
- KLH conjugated synthetic peptide derived from human CD158:51-150/377
- 亚 型
- IgG
- 纯化方法
- affinity purified by Protein A
- 储 存 液
- 0.01M TBS(pH7.4) with 1% BSA, 0.03% Proclin300 and 50% Glycerol.
- 保存条件
- Store at -20 °C for one year. Avoid repeated freeze/thaw cycles. The lyophilized antibody is stable at room temperature for at least one month and for greater than a year when kept at -20°C. When reconstituted in sterile pH 7.4 0.01M PBS or diluent of antibody the antibody is stable for at least two weeks at 2-4 °C.
- PubMed
- PubMed
- 产品介绍
- background:
Killer cell immunoglobulin-like receptors (KIRs) are transmembrane glycoproteins expressed by natural killer cells and subsets of T cells. The KIR genes are polymorphic and highly homologous and they are found in a cluster on chromosome 19q13.4 within the 1 Mb leukocyte receptor complex (LRC). The gene content of the KIR gene cluster varies among haplotypes, although several "framework" genes are found in all haplotypes (KIR3DL3, KIR3DP1, KIR3DL4, KIR3DL2). The KIR proteins are classified by the number of extracellular immunoglobulin domains (2D or 3D) and by whether they have a long (L) or short (S) cytoplasmic domain. KIR proteins with the long cytoplasmic domain transduce inhibitory signals upon ligand binding via an immune tyrosine-based inhibitory motif (ITIM), while KIR proteins with the short cytoplasmic domain lack the ITIM motif and instead associate with the TYRO protein tyrosine kinase binding protein to transduce activating signals. The ligands for several KIR proteins are subsets of HLA class I molecules; thus, KIR proteins are thought to play an important role in regulation of the immune response. This gene is one of the "framework" loci that is present on all haplotypes. Alternative splicing results in multiple transcript variants. [provided by RefSeq]
Function:
Receptor on natural killer (NK) cells for HLA-C alleles. Inhibits the activity of NK cells thus preventing cell lysis.
Subunit:
Interacts with ARRB2.
Subcellular Location:
Cell membrane; Single-pass type I membrane protein.
Similarity:
Belongs to the immunoglobulin superfamily.
Contains 2 Ig-like C2-type (immunoglobulin-like)
SWISS:
Q99706
Gene ID:
3805
Database links:Entrez Gene: 3805Human
Omim: 604945Human
SwissProt: Q99706Human
Unigene: 651287Human
Unigene: 661219Human
Important Note:
This product as supplied is intended for research use only, not for use in human, therapeutic or diagnostic applications.
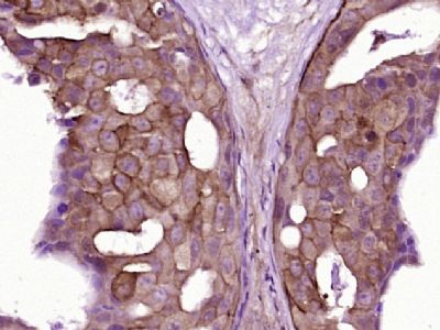
- 产品图片
Paraformaldehyde-fixed, paraffin embedded (human breast carcinoma); Antigen retrieval by boiling in sodium citrate buffer (pH6.0) for 15min; Block endogenous peroxidase by 3% hydrogen peroxide for 20 minutes; Blocking buffer (normal goat serum) at 37°C for 30min; Antibody incubation with (CD158D) Polyclonal Antibody, Unconjugated (bs-2643R) at 1:400 overnight at 4°C, followed by operating according to SP Kit(Rabbit) (sp-0023) instructionsand DAB staining.

