产品中心
当前位置:首页>产品中心Anti-FOXF1
货号: bs-2585R 基本售价: 1380.0 元 规格: 100ul
- 规格:100ul
- 价格:1380.00元
- 规格:200ul
- 价格:2200.00元
产品信息
- 产品编号
- bs-2585R
- 英文名称
- FOXF1
- 中文名称
- 叉头蛋白F1抗体
- 别 名
- AI450827; FKH L5; FKHL 5; FKHL5; FKHL5; Forkhead (Drosophila) like 5; forkhead (Drosophila)-like 5; forkhead (Drosophila)-like 5; forkhead box F1; forkhead box F1; Forkhead box protein F1; Forkhead drosophila homolog like 5; Forkhead like 5; Forkhead related activator 1; Forkhead related protein FKHL5; Forkhead related transcription factor 1; forkhead-related activator 1; forkhead-related activator 1; Forkhead-related protein FKHL5; Forkhead-related transcription factor 1; FOX F1; FOXF 1; foxf1; FOXF1_HUMAN; FREAC 1; FREAC-1; FREAC1; FREAC1; HFH 8; homolog-like 5; homolog-like 5; MGC105125.
- 规格价格
- 100ul/1380元购买 200ul/2200元购买 大包装/询价
- 说 明 书
- 100ul 200ul
- 研究领域
- 免疫学 染色质和核信号 表观遗传学
- 抗体来源
- Rabbit
- 克隆类型
- Polyclonal
- 交叉反应
- Human, Mouse, Rat, Chicken, Dog, Cow, Rabbit,
- 产品应用
- ELISA=1:500-1000 IHC-P=1:400-800 IHC-F=1:400-800 IF=1:100-500 (石蜡切片需做抗原修复)
not yet tested in other applications.
optimal dilutions/concentrations should be determined by the end user.
- 分 子 量
- 40kDa
- 细胞定位
- 细胞核
- 性 状
- Lyophilized or Liquid
- 浓 度
- 1mg/ml
- 免 疫 原
- KLH conjugated synthetic peptide derived from human FOXF1:285-379/379
- 亚 型
- IgG
- 纯化方法
- affinity purified by Protein A
- 储 存 液
- 0.01M TBS(pH7.4) with 1% BSA, 0.03% Proclin300 and 50% Glycerol.
- 保存条件
- Store at -20 °C for one year. Avoid repeated freeze/thaw cycles. The lyophilized antibody is stable at room temperature for at least one month and for greater than a year when kept at -20°C. When reconstituted in sterile pH 7.4 0.01M PBS or diluent of antibody the antibody is stable for at least two weeks at 2-4 °C.
- PubMed
- PubMed
- 产品介绍
- background:
This gene belongs to the forkhead family of transcription factors which is characterized by a distinct forkhead domain. The specific function of this gene has not yet been determined; however, it may play a role in the regulation of pulmonary genes as well as embryonic development. [provided by RefSeq, Jul 2008]
Function:
Probable transcription activator for a number of lung-specific genes.
Subcellular Location:
Nucleus (Probable).
Tissue Specificity:
Expressed in lung and placenta.
DISEASE:
Alveolar capillary dysplasia with misalignment of pulmonary veins (ACDMPV) [MIM:265380]: A rare developmental disorder characterized by abnormal development of the capillary vascular system in the lungs. Histological features include failure of formation and ingrowth of alveolar capillaries, medial muscular thickening of small pulmonary arterioles with muscularization of the intraacinar arterioles, thickened alveolar walls, and anomalously situated pulmonary veins running alongside pulmonary arterioles and sharing the same adventitial sheath. Less common features include a reduced number of alveoli and a patchy distribution of the histopathologic changes. Affected infants present with respiratory distress and the disease is fatal within the newborn period. Additional features include multiple congenital anomalies affecting the cardiovascular, gastrointestinal, genitourinary, and musculoskeletal systems, as well as disruption of the normal right-left asymmetry of intrathoracic or intraabdominal organs. ACDMPV is a rare cause of persistent pulmonary hypertension of the newborn, an abnormal physiologic state caused by failure of transition of the pulmonary circulation from the high pulmonary vascular resistance of the fetus to the low pulmonary vascular resistance of the newborn. Note=The disease is caused by mutations affecting the gene represented in this entry.
Similarity:
Contains 1 fork-head DNA-binding domain.
SWISS:
Q12946
Gene ID:
2294
Database links:Entrez Gene: 2294 Human
Omim: 601089 Human
SwissProt: Q12946 Human
Unigene: 155591 Human
Important Note:
This product as supplied is intended for research use only, not for use in human, therapeutic or diagnostic applications.
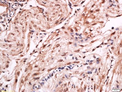
- 产品图片
Tissue/cell: Rat placenta tissue; 4% Paraformaldehyde-fixed and paraffin-embedded;
Antigen retrieval: citrate buffer ( 0.01M, pH 6.0 ), Boiling bathing for 15min; Block endogenous peroxidase by 3% Hydrogen peroxide for 30min; Blocking buffer (normal goat serum,C-0005) at 37℃ for 20 min;
Incubation: Anti-FOXF1 Polyclonal Antibody, Unconjugated(bs-2585R) 1:500, overnight at 4°C, followed by conjugation to the secondary antibody(SP-0023) and DAB(C-0010) staining

