产品中心
当前位置:首页>产品中心Anti-GABRA2
货号: bs-12061R 基本售价: 1380.0 元 规格: 100ul
- 规格:100ul
- 价格:1380.00元
- 规格:200ul
- 价格:2200.00元
产品信息
- 产品编号
- bs-12061R
- 英文名称
- GABRA2
- 中文名称
- G氨基丁酸A型受体α2/GABAA Rα2抗体
- 别 名
- GABA A Receptor a2; GABA A Receptor alpha 2; GABA A receptor subunit alpha 2; GABA; GABA(A) receptor subunit alpha 2; GABA(A) receptor subunit alpha-2; GABR A2; GABRA 2; GABRA2; GABRA2 protein; Gamma aminobutyric acid (GABA) A receptor alpha 2; Gamma aminobutyric acid A receptor alpha 2; Gamma aminobutyric acid receptor alpha 2 subunit; Gamma aminobutyric acid receptor subunit alpha 2; Gamma-aminobutyric acid receptor subunit alpha-2; GBRA2_HUMAN.
- 规格价格
- 100ul/1380元购买 200ul/2200元购买 大包装/询价
- 说 明 书
- 100ul 200ul
- 研究领域
- 神经生物学 细胞膜受体
- 抗体来源
- Rabbit
- 克隆类型
- Polyclonal
- 交叉反应
- Human, Mouse, Rat, Dog, Pig, Cow, Horse, Rabbit,
- 产品应用
- WB=1:500-2000 ELISA=1:500-1000 IHC-P=1:400-800 IHC-F=1:400-800 Flow-Cyt=1μg/Test ICC=1:100-500 IF=1:100-500 (石蜡切片需做抗原修复)
not yet tested in other applications.
optimal dilutions/concentrations should be determined by the end user.
- 分 子 量
- 48kDa
- 细胞定位
- 细胞膜
- 性 状
- Lyophilized or Liquid
- 浓 度
- 1mg/ml
- 免 疫 原
- KLH conjugated synthetic peptide derived from human GABRA2/GABA A Receptor alpha 2:185-280/451 <Extracellular>
- 亚 型
- IgG
- 纯化方法
- affinity purified by Protein A
- 储 存 液
- 0.01M TBS(pH7.4) with 1% BSA, 0.03% Proclin300 and 50% Glycerol.
- 保存条件
- Store at -20 °C for one year. Avoid repeated freeze/thaw cycles. The lyophilized antibody is stable at room temperature for at least one month and for greater than a year when kept at -20°C. When reconstituted in sterile pH 7.4 0.01M PBS or diluent of antibody the antibody is stable for at least two weeks at 2-4 °C.
- PubMed
- PubMed
- 产品介绍
- background:
GABA is the major inhibitory neurotransmitter in the mammalian brain where it acts at GABA-A receptors, which are ligand-gated chloride channels. Chloride conductance of these channels can be modulated by agents such as benzodiazepines that bind to the GABA-A receptor. At least 16 distinct subunits of GABA-A receptors have been identified. Alternatively spliced transcript variants encoding the same protein have been found for this gene. [provided by RefSeq, Jul 2008]
Function:
GABA, the major inhibitory neurotransmitter in the vertebrate brain, mediates neuronal inhibition by binding to the GABA/benzodiazepine receptor and opening an integral chloride channel.
Subunit:
Binds UBQLN1 (By similarity). Generally pentameric. There are five types of GABA(A) receptor chains: alpha, beta, gamma, delta, and rho.
Subcellular Location:
Cell junction, synapse, postsynaptic cell membrane; Multi-pass membrane protein. Cell membrane; Multi-pass membrane protein.
Similarity:
Belongs to the ligand-gated ion channel (TC 1.A.9) family. Gamma-aminobutyric acid receptor (TC 1.A.9.5) subfamily. GABRA2 sub-subfamily.
SWISS:
P47869
Gene ID:
2555
Database links:Entrez Gene: 2555Human
Entrez Gene: 14395Mouse
Entrez Gene: 289606Rat
Entrez Gene: 282236Cow
Omim: 137140Human
SwissProt: P10063Cow
SwissProt: P47869Human
SwissProt: P26048Mouse
SwissProt: P23576Rat
Unigene: 116250Human
Unigene: 5304Mouse
Unigene: 48180Rat
Important Note:
This product as supplied is intended for research use only, not for use in human, therapeutic or diagnostic applications.
- 产品图片
Sample:
Cerebral cortex(Rat) Lysate at 40 ug
Primary: Anti-GABRA2 (bs-12061R) at 1/1000 dilution
Secondary: IRDye800CW Goat Anti-Rabbit IgG at 1/20000 dilution
Predicted band size: 48 kD
Observed band size: 48 kD
Sample:
Cerebrum (Mouse) Lysate at 40 ug
Primary: Anti-GABRA2 (bs-12061R) at 1/1000 dilution
Secondary: IRDye800CW Goat Anti-Rabbit IgG at 1/20000 dilution
Predicted band size: 48 kD
Observed band size: 48 kD
Sample: Cerebrum (mouse) Lysate at 40 ug
Primary: Anti- GABRA2(bs-12061R) at 1/300 dilution
Secondary: IRDye800CW Goat Anti-Rabbit IgG at 1/20000 dilution
Predicted band size: 48 kD
Observed band size: 50 kD
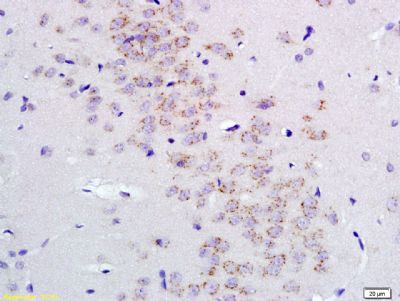
Tissue/cell: rat brain tissue; 4% Paraformaldehyde-fixed and paraffin-embedded;
Antigen retrieval: citrate buffer ( 0.01M, pH 6.0 ), Boiling bathing for 15min; Block endogenous peroxidase by 3% Hydrogen peroxide for 30min; Blocking buffer (normal goat serum,C-0005) at 37℃ for 20 min;
Incubation: Anti-GABRA2 Polyclonal Antibody, Unconjugated(bs-12061R) 1:200, overnight at 4°C, followed by conjugation to the secondary antibody(SP-0023) and DAB(C-0010) staining
Blank control(blue):RSC96 (fixed with 2% paraformaldehyde (10 min)).
Primary Antibody:Rabbit Anti- GABRA2 antibody(bs-12061R), Dilution: 1μg in 100 μL 1X PBS containing 0.5% BSA;
Isotype Control Antibody: Rabbit IgG(orange) ,used under the same conditions );
Secondary Antibody: Goat anti-rabbit IgG-PE(white blue), Dilution: 1:200 in 1 X PBS containing 0.5% BSA.

