产品中心
当前位置:首页>产品中心Anti-phospho-MARK2(Thr596)
货号: bs-5742R 基本售价: 1580.0 元 规格: 100ul
产品信息
- 产品编号
- bs-5742R
- 英文名称
- phospho-MARK2(Thr596)
- 中文名称
- 磷酸化丝氨酸/苏氨酸蛋白激酶MARK2抗体
- 别 名
- ELKL motif kinase 1; MARK2(phospho T596); ELKL motif kinase; EMK-1; EMK1; MAP/microtubule affinity regulating kinase 2; MAP/microtubule affinity-regulating kinase 2; Mark2; MARK2_HUMAN; PAR1 homolog; Serine/threonine protein kinase MARK2; Serine/threonine-protein kinase MARK2.

- Specific References (1) | bs-5742R has been referenced in 1 publications.[IF=27.36] Dumont, Nicolas A., et al. "Dystrophin expression in muscle stem cells regulates their polarity and asymmetric division." Nature Medicine (2015). IHC-P ; Mouse.PubMed:26569381
- 规格价格
- 100ul/1580元购买 大包装/询价
- 说 明 书
- 100ul
- 产品类型
- 磷酸化抗体
- 研究领域
- 免疫学 信号转导 激酶和磷酸酶 细胞骨架
- 抗体来源
- Rabbit
- 克隆类型
- Polyclonal
- 交叉反应
- Human, Mouse, Rat, Dog, Pig, Cow, Horse, Sheep, Guinea Pig,
- 产品应用
- WB=1:500-2000 ELISA=1:500-1000 IHC-P=1:400-800 IHC-F=1:400-800 IF=1:100-500 (石蜡切片需做抗原修复)
not yet tested in other applications.
optimal dilutions/concentrations should be determined by the end user.
- 分 子 量
- 82-90kDa
- 细胞定位
- 细胞浆 细胞膜
- 性 状
- Lyophilized or Liquid
- 浓 度
- 1mg/ml
- 免 疫 原
- KLH conjugated Synthesised phosphopeptide derived from human MARK2 around the phosphorylation site of Thr596:SR(p-S)TF
- 亚 型
- IgG
- 纯化方法
- affinity purified by Protein A
- 储 存 液
- 0.01M TBS(pH7.4) with 1% BSA, 0.03% Proclin300 and 50% Glycerol.
- 保存条件
- Store at -20 °C for one year. Avoid repeated freeze/thaw cycles. The lyophilized antibody is stable at room temperature for at least one month and for greater than a year when kept at -20°C. When reconstituted in sterile pH 7.4 0.01M PBS or diluent of antibody the antibody is stable for at least two weeks at 2-4 °C.
- PubMed
- PubMed
- 产品介绍
- background:
MARK2 refers to MAP/microtubule affinity-regulating kinase 2 isoform a [Homo sapiens]. EMK (ELKL Motif Kinase) is a small family of ser/thr protein kinases involved in the control of cell polarity, microtubule.stability and cancer. Several cDNA clones have been isolated that encoded two isoforms of the human ser/thr protein kinase EMK1 called MARK2. These isoforms were characterized by the presence of a 162-bp alternative exon that gave rise to two forms, one containing the exon and the other one lacking it. Both forms were found to be coexpressed in a number of selected cell lines and tissue samples. Human MARK2 was shown to be encoded by a single mRNA ubiquitously expressed. This transcription variant includes the alternative exon in the coding region and therefore codes for a longer protein. Multiple splice variants exist for this protein.
Function:
Serine/threonine-protein kinase involved in cell polarity and microtubule dynamics regulation. Phosphorylates CRTC2/TORC2, DCX, HDAC7, KIF13B, MAP2, MAP4, MAPT/TAU, and RAB11FIP2. Plays a key role in cell polarity by phosphorylating the microtubule-associated proteins MAP2, MAP4 and MAPT/TAU at KXGS motifs, causing detachment from microtubules, and their disassembly. Regulates epithelial cell polarity by phosphorylating RAB11FIP2. Involved in the regulation of neuronal migration through its dual activities in regulating cellular polarity and microtubule dynamics, possibly by phosphorylating and regulating DCX. Regulates axogenesis by phosphorylating KIF13B, promoting interaction between KIF13B and 14-3-3 and inhibiting microtubule-dependent accumulation of KIF13B. Also required for neurite outgrowth and establishment of neuronal polarity. Regulates localization and activity of some histone deacetylases by mediating phosphorylation of HDAC7, promoting subsequent interaction between HDAC7 and 14-3-3 and export from the nucleus. Also acts as a positive regulator of the Wnt signaling pathway, probably by mediating phosphorylation of dishevelled proteins (DVL1, DVL2 and/or DVL3). Modulates the developmental decision to build a columnar versus a hepatic epithelial cell apparently by promoting a switch from a direct to a transcytotic mode of apical protein delivery. Essential for the asymmetric development of membrane domains of polarized epithelial cells.
Subunit:
Homodimer. Interacts with PAK7/PAK5; leading to inhibit the protein kinase activity (By similarity). Interacts (when phosphorylated at Thr-596) with YWHAZ. In case of infection, interacts with H.pylori CagA, leading to inhibit kinase activity and junctional and polarity defects.
Subcellular Location:
Cell membrane; Peripheral membrane protein. Cytoplasm. Note=Phosphorylation at Thr-596 by PRKCZ/aPKC and subsequent interaction with 14-3-3 protein YWHAZ promotes relocation from the cell membrane to the cytoplasm.
Tissue Specificity:
High levels of expression in heart, brain, skeletal muscle and pancreas, lower levels observed in lung, liver and kidney.
Post-translational modifications:
Autophosphorylated. Phosphorylated at Thr-208 by STK11/LKB1 in complex with STE20-related adapter-alpha (STRADA) pseudo kinase and CAB39. Phosphorylation at Thr-208 by TAOK1 activates the kinase activity, leading to phosphorylation and detachment of MAPT/TAU from microtubules. Phosphorylation at Ser-212 by GSK3-beta (GSK3B) inhibits the kinase activity. Phosphorylation by CaMK1 promotes activity and is required to promote neurite outgrowth. Phosphorylation at Thr-596 by PRKCZ/aPKC in polarized epithelial cells inhibits the kinase activity and promotes binding to 14-3-3 protein YWHAZ, leading to relocation from cell membrane to cytoplasm.
Similarity:
Belongs to the protein kinase superfamily. CAMK Ser/Thr protein kinase family. SNF1 subfamily.
Contains 1 KA1 (kinase-associated) domain.
Contains 1 protein kinase domain.
Contains 1 UBA domain.
SWISS:
Q7KZI7
Gene ID:
2011
Database links:Entrez Gene: 2011 Human
Entrez Gene: 13728 Mouse
Entrez Gene: 60328 Rat
Omim: 600526 Human
SwissProt: Q7KZI7 Human
SwissProt: Q05512 Mouse
SwissProt: O08679 Rat
Unigene: 567261 Human
Unigene: 258986 Mouse
Unigene: 42926 Rat
Important Note:
This product as supplied is intended for research use only, not for use in human, therapeutic or diagnostic applications.
- 产品图片
Sample: Brain (Mouse) Lysate at 40 ug
Primary: Anti- p-MARK2(Thr596) (bs-5742R)at 1/300 dilution
Secondary: IRDye800CW Goat Anti-Rabbit IgG at 1/20000 dilution
Predicted band size: 82-90kD
Observed band size: 90kD
Sample: Heart (Mouse) Lysate at 40 ug
Primary: Anti- p-MARK2(Thr596) (bs-5742R)at 1/300 dilution
Secondary: IRDye800CW Goat Anti-Rabbit IgG at 1/20000 dilution
Predicted band size: 82-90kD
Observed band size: 90kD
Sample: Siha Cell (Human) Lysate at 30 ug
Primary: Anti- p-MARK2(Thr596) (bs-5742R)at 1/300 dilution
Secondary: IRDye800CW Goat Anti-Rabbit IgG at 1/20000 dilution
Predicted band size: 82-90kD
Observed band size: 90kD
Paraformaldehyde-fixed, paraffin embedded (Rat liver); Antigen retrieval by boiling in sodium citrate buffer (pH6.0) for 15min; Block endogenous peroxidase by 3% hydrogen peroxide for 20 minutes; Blocking buffer (normal goat serum) at 37°C for 30min; Antibody incubation with (p-MARK2(Thr596)) Polyclonal Antibody, Unconjugated (bs-5742R) at 1:400 overnight at 4°C, followed by operating according to SP Kit(Rabbit) (sp-0023) instructionsand DAB staining.
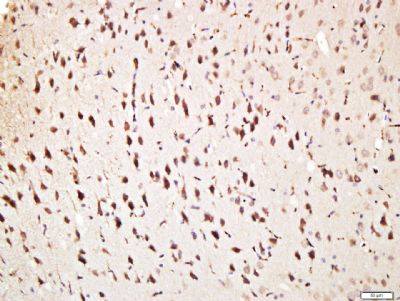
Paraformaldehyde-fixed, paraffin embedded (rat brain); Antigen retrieval by boiling in sodium citrate buffer (pH6.0) for 15min; Block endogenous peroxidase by 3% hydrogen peroxide for 20 minutes; Blocking buffer (normal goat serum) at 37°C for 30min; Antibody incubation with (phospho-MARK2(Thr596)) Polyclonal Antibody, Unconjugated (bs-5742R) at 1:400 overnight at 4°C, followed by a conjugated secondary (sp-0023) for 20 minutes and DAB staining.

