产品中心
当前位置:首页>产品中心Anti-RPS7
货号: bs-18833R 基本售价: 1380.0 元 规格: 100ul
- 规格:100ul
- 价格:1380.00元
- 规格:200ul
- 价格:2200.00元
产品信息
- 产品编号
- bs-18833R
- 英文名称
- RPS7
- 中文名称
- 核糖体蛋白S7抗体
- 别 名
- 40S ribosomal protein S7; DBA8; Ribosomal protein S7; RPS 7; rps7; RS7_HUMAN; S7.
- 规格价格
- 100ul/1380元购买 200ul/2200元购买 大包装/询价
- 说 明 书
- 100ul 200ul
- 研究领域
- 细胞生物 免疫学 信号转导 转录调节因子 激酶和磷酸酶 表观遗传学
- 抗体来源
- Rabbit
- 克隆类型
- Polyclonal
- 交叉反应
- Human, Mouse, Rat, Cow, Zebrafish, Sheep,
- 产品应用
- WB=1:500-2000 ELISA=1:500-1000 IHC-P=1:400-800 IHC-F=1:400-800 ICC=1:100-500 IF=1:100-500 (石蜡切片需做抗原修复)
not yet tested in other applications.
optimal dilutions/concentrations should be determined by the end user.
- 分 子 量
- 22kDa
- 细胞定位
- 细胞浆
- 性 状
- Lyophilized or Liquid
- 浓 度
- 1mg/ml
- 免 疫 原
- KLH conjugated synthetic peptide derived from human RPS7:1-100/194
- 亚 型
- IgG
- 纯化方法
- affinity purified by Protein A
- 储 存 液
- 0.01M TBS(pH7.4) with 1% BSA, 0.03% Proclin300 and 50% Glycerol.
- 保存条件
- Store at -20 °C for one year. Avoid repeated freeze/thaw cycles. The lyophilized antibody is stable at room temperature for at least one month and for greater than a year when kept at -20°C. When reconstituted in sterile pH 7.4 0.01M PBS or diluent of antibody the antibody is stable for at least two weeks at 2-4 °C.
- PubMed
- PubMed
- 产品介绍
- background:
Ribosomes, the organelles that catalyze protein synthesis, consist of a small 40S subunit and a large 60S subunit. Together these subunits are composed of 4 RNA species and approximately 80 structurally distinct proteins. This gene encodes a ribosomal protein that is a component of the 40S subunit. The protein belongs to the S7E family of ribosomal proteins. It is located in the cytoplasm. As is typical for genes encoding ribosomal proteins, there are multiple processed pseudogenes of this gene dispersed through the genome. [provided by RefSeq, Jul 2008]
Function:
Required for rRNA maturation.
DISEASE:
Defects in RPS7 are the cause of Diamond-Blackfan anemia type 8 (DBA8) [MIM:612563]. DBA8 is a form of Diamond-Blackfan anemia, a congenital non-regenerative hypoplastic anemia that usually presents early in infancy. Diamond-Blackfan anemia is characterized by a moderate to severe macrocytic anemia, erythroblastopenia, and an increased risk of malignancy. 30 to 40% of Diamond-Blackfan anemia patients present with short stature and congenital anomalies, the most frequent being craniofacial (Pierre-Robin syndrome and cleft palate), thumb and urogenital anomalies.
Similarity:
Belongs to the ribosomal protein S7e family.
SWISS:
P62081
Gene ID:
6201
Database links:Entrez Gene: 505507Cow
Entrez Gene: 6201Human
Entrez Gene: 20115Mouse
Entrez Gene: 29258Rat
Entrez Gene: 393725Zebrafish
Omim: 603658Human
SwissProt: A6H769Cow
SwissProt: P62081Human
SwissProt: P62082Mouse
SwissProt: P62083Rat
SwissProt: P62084Zebrafish
Unigene: 7187Cow
Unigene: 534346Human
Unigene: 546287Human
Unigene: 646582Human
Unigene: 279839Mouse
Unigene: 371579Mouse
Unigene: 107039Rat
Unigene: 224475Rat
Unigene: 28230Zebrafish
Important Note:
This product as supplied is intended for research use only, not for use in human, therapeutic or diagnostic applications.
- 产品图片
Sample:
Lymph node (Mouse) Lysate at 40 ug
Primary: Anti-RPS7 (bs-18833R) at 1/500 dilution
Secondary: IRDye800CW Goat Anti-Rabbit IgG at 1/20000 dilution
Predicted band size: 22 kD
Observed band size: 22 kD
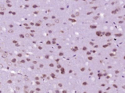
Paraformaldehyde-fixed, paraffin embedded (mouse brain tissue); Antigen retrieval by boiling in sodium citrate buffer (pH6.0) for 15min; Block endogenous peroxidase by 3% hydrogen peroxide for 20 minutes; Blocking buffer (normal goat serum) at 37°C for 30min; Antibody incubation with (RPS7) Polyclonal Antibody, Unconjugated (bs-18833R) at 1:400 overnight at 4°C, followed by operating according to SP Kit(Rabbit) (sp-0023) instructionsand DAB staining.
Paraformaldehyde-fixed, paraffin embedded (rat brain tissue); Antigen retrieval by boiling in sodium citrate buffer (pH6.0) for 15min; Block endogenous peroxidase by 3% hydrogen peroxide for 20 minutes; Blocking buffer (normal goat serum) at 37°C for 30min; Antibody incubation with (RPS7) Polyclonal Antibody, Unconjugated (bs-18833R) at 1:400 overnight at 4°C, followed by operating according to SP Kit(Rabbit) (sp-0023) instructionsand DAB staining.

