产品中心
当前位置:首页>产品中心Anti-LPCAT2
货号: bs-10742R 基本售价: 1380.0 元 规格: 100ul
- 规格:100ul
- 价格:1380.00元
- 规格:200ul
- 价格:2200.00元
产品信息
- 产品编号
- bs-10742R
- 英文名称
- LPCAT2
- 中文名称
- 磷脂酰基转移酶2抗体
- 别 名
- 1 acylglycerophosphocholine O acyltransferase; 1 alkylglycerophosphocholine O acetyltransferase; 1-acylglycerophosphocholine O-acyltransferase; 1-alkylglycerophosphocholine O-acetyltransferase; A330042H22; Acetyl CoA:lyso PAF acetyltransferase; Acetyl-CoA:lyso-PAF acetyltransferase; Acetyl-CoA:lyso-platelet-activating factor acetyltransferase; acyl CoA:lysophosphatidylcholine acyltransferase 2; Acyl-CoA:lysophosphatidylcholine acyltransferase member 1; Acyltransferase like 1A; Acyltransferase-like 1; AYTL1; Aytl1a; DKFZp686H22112; FLJ20481; lpafat1; LPC acyltransferase 2; LPCAT-2; LPCAT2; Lyso PAF acetyltransferase; Lyso platelet activating factor (PAF) acetyltransferase; Lyso-PAF acetyltransferase; LysoPAFAT; LysoPAFAT/LPCAT2; LysoPC acyltransferase 2; Lysophosphatidylcholine acyltransferase 2; OTTMUSP00000029641; PCAT2_HUMAN; RGD1563994.
- 规格价格
- 100ul/1380元购买 200ul/2200元购买 大包装/询价
- 说 明 书
- 100ul 200ul
- 研究领域
- 细胞生物 信号转导 转运蛋白
- 抗体来源
- Rabbit
- 克隆类型
- Polyclonal
- 交叉反应
- Human, Mouse, Rat, Pig, Cow, Horse, Rabbit, Sheep,
- 产品应用
- WB=1:500-2000 ELISA=1:500-1000 IHC-P=1:400-800 IHC-F=1:400-800 ICC=1:100-500 IF=1:100-500 (石蜡切片需做抗原修复)
not yet tested in other applications.
optimal dilutions/concentrations should be determined by the end user.
- 分 子 量
- 60kDa
- 细胞定位
- 细胞浆 细胞膜
- 性 状
- Lyophilized or Liquid
- 浓 度
- 1mg/ml
- 免 疫 原
- KLH conjugated synthetic peptide derived from human LPCAT2:131-230/544
- 亚 型
- IgG
- 纯化方法
- affinity purified by Protein A
- 储 存 液
- 0.01M TBS(pH7.4) with 1% BSA, 0.03% Proclin300 and 50% Glycerol.
- 保存条件
- Store at -20 °C for one year. Avoid repeated freeze/thaw cycles. The lyophilized antibody is stable at room temperature for at least one month and for greater than a year when kept at -20°C. When reconstituted in sterile pH 7.4 0.01M PBS or diluent of antibody the antibody is stable for at least two weeks at 2-4 °C.
- PubMed
- PubMed
- 产品介绍
- background:
This gene encodes a member of the lysophospholipid acyltransferase family. The encoded enzyme may function in two ways: to catalyze the biosynthesis of platelet-activating factor (1-O-alkyl-2-acetyl-sn-glycero-3-phosphocholine) from 1-O-alkyl-sn-glycero-3-phosphocholine, and to catalyze the synthesis of glycerophospholipid precursors from arachidonyl-CoA and lysophosphatidylcholine. The encoded protein may function in membrane biogenesis and production of platelet-activating factor in inflammatory cells. The enzyme may localize to the endoplasmic reticulum and the Golgi. [provided by RefSeq, Feb 2009].
Function:
Possesses both acyltransferase and acetyltransferase activities. Activity is calcium-dependent. Involved in platelet-activating factor (PAF) biosynthesis by catalyzing the conversion of the PAF precursor, 1-O-alkyl-sn-glycero-3-phosphocholine (lyso-PAF) into 1-O-alkyl-2-acetyl-sn-glycero-3-phosphocholine (PAF). Also converts lyso-PAF to 1-alkyl-phosphatidylcholine (PC), a major component of cell membranes and a PAF precursor. Under resting conditions, acyltransferase activity is preferred. Upon acute inflammatory stimulus, acetyltransferase activity is enhanced and PAF synthesis increases.
Subcellular Location:
Endoplasmic reticulum membrane. Golgi apparatus membrane.
Similarity:
Belongs to the 1-acyl-sn-glycerol-3-phosphate acyltransferase family.Contains 2 EF-hand domains.
SWISS:
Q7L5N7
Gene ID:
54947
Database links:Entrez Gene: 54947 Human
Omim: 612040 Human
SwissProt: Q7L5N7 Human
Unigene: 460857 Human
Important Note:
This product as supplied is intended for research use only, not for use in human, therapeutic or diagnostic applications.
- 产品图片
Paraformaldehyde-fixed, paraffin embedded (Mouse brain); Antigen retrieval by boiling in sodium citrate buffer (pH6.0) for 15min; Block endogenous peroxidase by 3% hydrogen peroxide for 20 minutes; Blocking buffer (normal goat serum) at 37°C for 30min; Antibody incubation with (LPCAT2) Polyclonal Antibody, Unconjugated (bs-10742R) at 1:400 overnight at 4°C, followed by operating according to SP Kit(Rabbit) (sp-0023) instructionsand DAB staining.
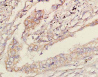
Tissue/cell: human lung carcinoma; 4% Paraformaldehyde-fixed and paraffin-embedded;
Antigen retrieval: citrate buffer ( 0.01M, pH 6.0 ), Boiling bathing for 15min; Block endogenous peroxidase by 3% Hydrogen peroxide for 30min; Blocking buffer (normal goat serum,C-0005) at 37℃ for 20 min;
Incubation: Anti-LPCAT2 Polyclonal Antibody, Unconjugated(bs-10742R) 1:200, overnight at 4°C, followed by conjugation to the secondary antibody(SP-0023) and DAB(C-0010) staining
Tissue/cell: rat brain tissue; 4% Paraformaldehyde-fixed and paraffin-embedded;
Antigen retrieval: citrate buffer ( 0.01M, pH 6.0 ), Boiling bathing for 15min; Block endogenous peroxidase by 3% Hydrogen peroxide for 30min; Blocking buffer (normal goat serum,C-0005) at 37℃ for 20 min;
Incubation: Anti-LPCAT2 Polyclonal Antibody, Unconjugated(bs-10742R) 1:200, overnight at 4°C, followed by conjugation to the secondary antibody(SP-0023) and DAB(C-0010) staining

