产品中心
当前位置:首页>产品中心Anti-hydroxyproline
货号: bs-10389R 基本售价: 1580.0 元 规格: 100ul
产品信息
- 产品编号
- bs-10389R
- 英文名称
- hydroxyproline
- 中文名称
- 羟脯氨酸抗体
- 别 名
- hydroxyproline; Hyp; hydroxyproline.
- 规格价格
- 100ul/1580元购买 大包装/询价
- 说 明 书
- 100ul
- 产品类型
- 药物与化合物抗体
- 研究领域
- 抗体来源
- Rabbit
- 克隆类型
- Polyclonal
- 交叉反应
- Human, Rat, hydroxyproline
- 产品应用
- WB=1:500-2000 ELISA=1:500-1000 IHC-P=1:400-800 IHC-F=1:400-800 (石蜡切片需做抗原修复)
not yet tested in other applications.
optimal dilutions/concentrations should be determined by the end user.
- 性 状
- Lyophilized or Liquid
- 浓 度
- 1mg/ml
- 免 疫 原
- KLH conjugated synthetic peptide derived from human hydroxyproline:
- 亚 型
- IgG
- 纯化方法
- affinity purified by Protein A
- 储 存 液
- 0.01M TBS(pH7.4) with 1% BSA, 0.03% Proclin300 and 50% Glycerol.
- 保存条件
- Store at -20 °C for one year. Avoid repeated freeze/thaw cycles. The lyophilized antibody is stable at room temperature for at least one month and for greater than a year when kept at -20°C. When reconstituted in sterile pH 7.4 0.01M PBS or diluent of antibody the antibody is stable for at least two weeks at 2-4 °C.
- PubMed
- PubMed
- 产品介绍
- background:
Hydroxyproline, a non-essential amino acid derived from proline, with no known therapeutic use. Hydroxproline is used as a major component of structural protiens such as collagen, connective tissues, plant cell walls, tendons and ligaments and provides skin elasticity. Vitiman C is required for the conversion process from proline to hydroxyproline, a deficincy in vitiman C can lead to defects in collagen synthesis, thus, resulting in easy bruising, internal bleeding, breakdown of connective tissue of the ligaments and tendons, and increased risk to blood vessel damage. An unusual feature of this amino acid is that, it is not incorporated into collagen during biosynthesis at the ribosomal level, but is formed from proline by a posttranslational modification by an enzymatic hydroxylation reaction.
SWISS:
N/A
CAS:
51-35-4
Important Note:
This product as supplied is intended for research use only, not for use in human, therapeutic or diagnostic applications.
- 产品图片
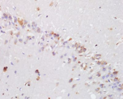
Tissue/cell: rat brain tissue; 4% Paraformaldehyde-fixed and paraffin-embedded;
Antigen retrieval: citrate buffer ( 0.01M, pH 6.0 ), Boiling bathing for 15min; Block endogenous peroxidase by 3% Hydrogen peroxide for 30min; Blocking buffer (normal goat serum,C-0005) at 37℃ for 20 min;
Incubation: Anti-hydroxyproline Polyclonal Antibody, Unconjugated(bs-10389R) 1:200, overnight at 4°C, followed by conjugation to the secondary antibody(SP-0023) and DAB(C-0010) staining
Tissue/cell: human lung carcinoma; 4% Paraformaldehyde-fixed and paraffin-embedded;
Antigen retrieval: citrate buffer ( 0.01M, pH 6.0 ), Boiling bathing for 15min; Block endogenous peroxidase by 3% Hydrogen peroxide for 30min; Blocking buffer (normal goat serum,C-0005) at 37℃ for 20 min;
Incubation: Anti-hydroxyproline Polyclonal Antibody, Unconjugated(bs-10389R) 1:200, overnight at 4°C, followed by conjugation to the secondary antibody(SP-0023) and DAB(C-0010) staining
Tissue/cell: rat brain tissue; 4% Paraformaldehyde-fixed and paraffin-embedded;
Antigen retrieval: citrate buffer ( 0.01M, pH 6.0 ), Boiling bathing for 15min; Block endogenous peroxidase by 3% Hydrogen peroxide for 30min; Blocking buffer (normal goat serum,C-0005) at 37℃ for 20 min;
Incubation: Anti-hydroxyproline Polyclonal Antibody, Unconjugated(bs-10389R) 1:200, overnight at 4°C, followed by conjugation to the secondary antibody(SP-0023) and DAB(C-0010) staining

