产品中心
当前位置:首页>产品中心Anti-TNNI3
货号: bs-10614R 基本售价: 1380.0 元 规格: 100ul
- 规格:100ul
- 价格:1380.00元
- 规格:200ul
- 价格:2200.00元
产品信息
- 产品编号
- bs-10614R
- 英文名称
- TNNI3
- 中文名称
- 心肌肌钙蛋白I抗体
- 别 名
- Cardiac Troponin I; cardiac muscle; Troponin I, cardiac muscle; Cardiomyopathy, familial hypertrophic, 7, included; CMD1FF; CMD2A; CMH7; cTnI; Familial hypertrophic cardiomyopathy 7; MGC116817; RCM1; Tn1; Tni; TNN I3; TNNC 1; TNNC1; TNNI3; TNNI3; TNNI3_HUMAN; Troponin I; Troponin I cardiac; Troponin I cardiac muscle; Troponin I cardiac muscle isoform; Troponin I type 3 cardiac; troponin I, cardiac 3; TroponinI; Ttroponin I type 3 (cardiac).
- 规格价格
- 100ul/1380元购买 200ul/2200元购买 大包装/询价
- 说 明 书
- 100ul 200ul
- 研究领域
- 心血管 发育生物学 信号转导 干细胞 细胞骨架
- 抗体来源
- Rabbit
- 克隆类型
- Polyclonal
- 交叉反应
- Human, Mouse, Rat,
- 产品应用
- WB=1:500-2000 ELISA=1:500-1000 IHC-P=1:400-800 IHC-F=1:400-800 ICC=1:100-500 IF=1:100-500 (石蜡切片需做抗原修复)
not yet tested in other applications.
optimal dilutions/concentrations should be determined by the end user.
- 分 子 量
- 24kDa
- 细胞定位
- 细胞浆
- 性 状
- Lyophilized or Liquid
- 浓 度
- 1mg/ml
- 免 疫 原
- KLH conjugated synthetic peptide derived from human TNNI3:131-210/210
- 亚 型
- IgG
- 纯化方法
- affinity purified by Protein A
- 储 存 液
- 0.01M TBS(pH7.4) with 1% BSA, 0.03% Proclin300 and 50% Glycerol.
- 保存条件
- Store at -20 °C for one year. Avoid repeated freeze/thaw cycles. The lyophilized antibody is stable at room temperature for at least one month and for greater than a year when kept at -20°C. When reconstituted in sterile pH 7.4 0.01M PBS or diluent of antibody the antibody is stable for at least two weeks at 2-4 °C.
- PubMed
- PubMed
- 产品介绍
- background:
Troponin I (TnI), along with troponin T (TnT) and troponin C (TnC), is one of 3 subunits that form the troponin complex of the thin filaments of striated muscle. TnI is the inhibitory subunit; blocking actin-myosin interactions and thereby mediating striated muscle relaxation. The TnI subfamily contains three genes: TnI-skeletal-fast-twitch, TnI-skeletal-slow-twitch, and TnI-cardiac. This gene encodes the TnI-cardiac protein and is exclusively expressed in cardiac muscle tissues. Mutations in this gene cause familial hypertrophic cardiomyopathy type 7 (CMH7) and familial restrictive cardiomyopathy (RCM). [provided by RefSeq].
Function:
Troponin I is the inhibitory subunit of troponin, the thin filament regulatory complex which confers calcium-sensitivity to striated muscle actomyosin ATPase activity.
Post-translational modifications:
Phosphorylated at Ser-42 and Ser-44 by PRKCE; phosphorylation increases myocardium contractile dysfunction. Phosphorylated at Ser-23 and Ser-24 by PRKD1; phosphorylation reduces myofilament calcium sensitivity. Phosphorylated preferentially at Thr-31. Phosphorylation by STK4/MST1 alters its binding affinity to TNNC1 (cardiac Tn-C) and TNNT2 (cardiac Tn-T).
DISEASE:
Defects in TNNI3 are the cause of cardiomyopathy familial hypertrophic type 7 (CMH7) [MIM:613690]. Familial hypertrophic cardiomyopathy is a hereditary heart disorder characterized by ventricular hypertrophy, which is usually asymmetric and often involves the interventricular septum. The symptoms include dyspnea, syncope, collapse, palpitations, and chest pain. They can be readily provoked by exercise. The disorder has inter- and intrafamilial variability ranging from benign to malignant forms with high risk of cardiac failure and sudden cardiac death.
Defects in TNNI3 are the cause of cardiomyopathy familial restrictive type 1 (RCM1) [MIM:115210]. RCM1 is an heart muscle disorder characterized by impaired filling of the ventricles with reduced diastolic volume, in the presence of normal or near normal wall thickness and systolic function.
Defects in TNNI3 are the cause of cardiomyopathy dilated type 2A (CMD2A) [MIM:611880]. Dilated cardiomyopathy is a disorder characterized by ventricular dilation and impaired systolic function, resulting in congestive heart failure and arrhythmia. Patients are at risk of premature death.
Defects in TNNI3 are the cause of cardiomyopathy dilated type 1FF (CMD1FF) [MIM:613286]. Dilated cardiomyopathy is a disorder characterized by ventricular dilation and impaired systolic function, resulting in congestive heart failure and arrhythmia. Patients are at risk of premature death.
Similarity:
Belongs to the troponin I family.
SWISS:
P19429
Gene ID:
7137
Database links:Entrez Gene: 493744 Cat
Entrez Gene: 511094 Cow
Entrez Gene: 403566 Dog
Entrez Gene: 7137 Human
Entrez Gene: 21954 Mouse
Entrez Gene: 100049696 Pig
Entrez Gene: 29248 Rat
Omim: 191044 Human
SwissProt: Q863B6 Cat
SwissProt: P08057 Cow
SwissProt: Q8MKD5 Dog
SwissProt: P19429 Human
SwissProt: P48787 Mouse
SwissProt: P02646 Rabbit
SwissProt: P23693 Rat
Unigene: 709179 Human
Unigene: 27674 Mouse
Unigene: 64141 Rat
Important Note:
This product as supplied is intended for research use only, not for use in human, therapeutic or diagnostic applications.
- 产品图片
Sample:
Lymph node(Rat) Cell Lysate at 40 ug
Primary: Anti-TNNI3 (bs-10614R) at 1/300 dilution
Secondary: IRDye800CW Goat Anti-Rabbit IgG at 1/20000 dilution
Predicted band size: 24 kD
Observed band size: 24 kD
Sample:
heart(rat)Lysate at 40 ug
Primary: Anti- TNNI3 (bs-10614R)at 1/300 dilution
Secondary: IRDye800CW Goat Anti-Rabbit IgG at 1/20000 dilution
Predicted band size: 24kD
Observed band size: 24 kD
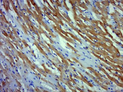
Paraformaldehyde-fixed, paraffin embedded (Rat heart); Antigen retrieval by boiling in sodium citrate buffer (pH6.0) for 15min; Block endogenous peroxidase by 3% hydrogen peroxide for 20 minutes; Blocking buffer (normal goat serum) at 37°C for 30min; Antibody incubation with (TNNI3) Polyclonal Antibody, Unconjugated (bs-10614R) at 1:500 overnight at 4°C, followed by a conjugated secondary (sp-0023) for 20 minutes and DAB staining.

