产品中心
当前位置:首页>产品中心Anti-L3MBTL2
货号: bs-16880R 基本售价: 1380.0 元 规格: 100ul
- 规格:100ul
- 价格:1380.00元
- 规格:200ul
- 价格:2200.00元
产品信息
- 产品编号
- bs-16880R
- 英文名称
- L3MBTL2
- 中文名称
- 致死因子恶性脑瘤样蛋白2抗体
- 别 名
- 3bt like 2 protein; 3bt like protein; DKFZP761I141; H-l(3)mbt-like protein 2; H-l(3)mbt-like protein; Hl; Hl(3)mbt like protein; Hl(3)mbtl; L; l(3)mbt like 2 (Drosophila); l(3)mbt like 2; L(3)mbt-like 2 protein; L(3)mbt-like protein 2; L3MBTL2; Lethal; Lethal(3)malignant brain tumor-like 2 protein; Lethal(3)malignant brain tumor-like protein 2; LMBL2_HUMAN.
- 规格价格
- 100ul/1380元购买 200ul/2200元购买 大包装/询价
- 说 明 书
- 100ul 200ul
- 研究领域
- 肿瘤 细胞生物 表观遗传学
- 抗体来源
- Rabbit
- 克隆类型
- Polyclonal
- 交叉反应
- Human, Mouse, Rat, Dog, Pig, Cow, Horse, Rabbit, Sheep,
- 产品应用
- ELISA=1:500-1000 IHC-P=1:400-800 IHC-F=1:400-800 ICC=1:100-500 IF=1:100-500 (石蜡切片需做抗原修复)
not yet tested in other applications.
optimal dilutions/concentrations should be determined by the end user.
- 分 子 量
- 79kDa
- 细胞定位
- 细胞核
- 性 状
- Lyophilized or Liquid
- 浓 度
- 1mg/ml
- 免 疫 原
- KLH conjugated synthetic peptide derived from human L3MBTL2:151-250/705
- 亚 型
- IgG
- 纯化方法
- affinity purified by Protein A
- 储 存 液
- 0.01M TBS(pH7.4) with 1% BSA, 0.03% Proclin300 and 50% Glycerol.
- 保存条件
- Store at -20 °C for one year. Avoid repeated freeze/thaw cycles. The lyophilized antibody is stable at room temperature for at least one month and for greater than a year when kept at -20°C. When reconstituted in sterile pH 7.4 0.01M PBS or diluent of antibody the antibody is stable for at least two weeks at 2-4 °C.
- PubMed
- PubMed
- 产品介绍
- background:
Putative Polycomb group (PcG) protein. PcG proteins maintain the transcriptionally repressive state of genes, probably via a modification of chromatin, rendering it heritably changed in its expressibility. Its association with a chromatin-remodeling complex suggests that it may contribute to prevent expression of genes that trigger the cell into mitosis. Binds to monomethylated and dimethylated Lys-20 on histone H4. Binds histone H3 peptides that are monomethylated or dimethylated on Lys-4, Lys-9 or Lys-27.
Function:
Putative Polycomb group (PcG) protein. PcG proteins maintain the transcriptionally repressive state of genes, probably via a modification of chromatin, rendering it heritably changed in its expressibility. Its association with a chromatin-remodeling complex suggests that it may contribute to prevent expression of genes that trigger the cell into mitosis. Binds to monomethylated and dimethylated Lys-20 on histone H4. Binds histone H3 peptides that are monomethylated or dimethylated on Lys-4, Lys-9 orLys-27.
Subunit:
Part of the E2F6.com-1 complex in G0 phase composed of E2F6, MGA, MAX, TFDP1, CBX3, BAT8, EUHMTASE1, RING1, RNF2, MBLR,BAT8 and YAF2.
Subcellular Location:
Nucleus.
Similarity:
Contains 1 FCS-type zinc finger.
Contains 4 MBT repeats.
SWISS:
Q969R5
Gene ID:
83746
Database links:Entrez Gene: 513297Cow
Entrez Gene: 83746Human
Entrez Gene: 214669Mouse
Entrez Gene: 300320Rat
Omim: 611865Human
SwissProt: Q1JQD9Cow
SwissProt: Q969R5Human
SwissProt: P59178Mouse
SwissProt: Q3MIF2Rat
Unigene: 517641Human
Unigene: 280768Mouse
Unigene: 137566Rat
Important Note:
This product as supplied is intended for research use only, not for use in human, therapeutic or diagnostic applications.
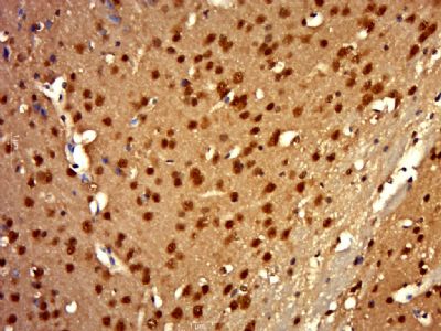
- 产品图片
Paraformaldehyde-fixed, paraffin embedded (rat uterus); Antigen retrieval by boiling in sodium citrate buffer (pH6.0) for 15min; Block endogenous peroxidase by 3% hydrogen peroxide for 20 minutes; Blocking buffer (normal goat serum) at 37°C for 30min; Antibody incubation with (L3MBTL2) Polyclonal Antibody, Unconjugated (bs-16880R) at 1:400 overnight at 4°C, followed by a conjugated secondary (sp-0023) for 20 minutes and DAB staining.
Paraformaldehyde-fixed, paraffin embedded (Human stomach cancer); Antigen retrieval by boiling in sodium citrate buffer (pH6.0) for 15min; Block endogenous peroxidase by 3% hydrogen peroxide for 20 minutes; Blocking buffer (normal goat serum) at 37°C for 30min; Antibody incubation with (L3MBTL2) Polyclonal Antibody, Unconjugated (bs-16880R) at 1:400 overnight at 4°C, followed by operating according to SP Kit(Rabbit) (sp-0023) instructionsand DAB staining.
Paraformaldehyde-fixed, paraffin embedded (mouse brain); Antigen retrieval by boiling in sodium citrate buffer (pH6.0) for 15min; Block endogenous peroxidase by 3% hydrogen peroxide for 20 minutes; Blocking buffer (normal goat serum) at 37°C for 30min; Antibody incubation with (L3MBTL2) Polyclonal Antibody, Unconjugated (bs-16880R) at 1:400 overnight at 4°C, followed by a conjugated secondary (sp-0023) for 20 minutes and DAB staining.

