产品中心
当前位置:首页>产品中心Anti-Neurabin 2
货号: bs-12146R 基本售价: 1380.0 元 规格: 100ul
- 规格:100ul
- 价格:1380.00元
- 规格:200ul
- 价格:2200.00元
产品信息
- 产品编号
- bs-12146R
- 英文名称
- Neurabin 2
- 中文名称
- 神经组织特异性F肌动蛋白结合蛋白2抗体
- 别 名
- FLJ30345; NEB2_HUMAN; Neurabin II; Neurabin-2; Neurabin-II; Neurabin2; NeurabinII; Neurabin II; Neural tissue specific F actin binding protein II; p130; PP1bp134; PPP1R6; PPP1R9; PPP1R9B; Protein phosphatase 1 regulatory subunit 9B; SPINO; Spinophilin.
- 规格价格
- 100ul/1380元购买 200ul/2200元购买 大包装/询价
- 说 明 书
- 100ul 200ul
- 研究领域
- 细胞生物 神经生物学 信号转导 细胞粘附分子 细胞骨架
- 抗体来源
- Rabbit
- 克隆类型
- Polyclonal
- 交叉反应
- Human, Mouse, Rat, Dog, Pig, Sheep,
- 产品应用
- WB=1:500-2000 ELISA=1:500-1000 IHC-P=1:400-800 IHC-F=1:400-800 ICC=1:100-500 IF=1:100-500 (石蜡切片需做抗原修复)
not yet tested in other applications.
optimal dilutions/concentrations should be determined by the end user.
- 分 子 量
- 89kDa
- 细胞定位
- 细胞核 细胞浆 细胞膜
- 性 状
- Lyophilized or Liquid
- 浓 度
- 1mg/ml
- 免 疫 原
- KLH conjugated synthetic peptide derived from human Spinophilin/Neurabin 2:358-460/815
- 亚 型
- IgG
- 纯化方法
- affinity purified by Protein A
- 储 存 液
- 0.01M TBS(pH7.4) with 1% BSA, 0.03% Proclin300 and 50% Glycerol.
- 保存条件
- Store at -20 °C for one year. Avoid repeated freeze/thaw cycles. The lyophilized antibody is stable at room temperature for at least one month and for greater than a year when kept at -20°C. When reconstituted in sterile pH 7.4 0.01M PBS or diluent of antibody the antibody is stable for at least two weeks at 2-4 °C.
- PubMed
- PubMed
- 产品介绍
- background:
Neurabin-II, also called spinophilin, interacts with actin and PP-1 in dendritic spines of the central nervous system (1,2). The gene encoding human neurabin-II maps to chromosome 17q21-q22 (2). The structural characteristics of neurabin-II include one F-actin binding domain at the N-terminal region, a predicted coiled-coil struture at the C-terminal, one PDZ domain at the middle region, and a domain known to interact with transmembrane proteins (1). Neurabin-II bundles actin fliaments in vitro (1). In vivo, spinophilin localizes to the cortical sites of actin filaments and to the sites of active membrane remodelling (4). Neurabin-II also forms a complex with the catalytic subunit of PP1 and modulates PP1 enzymatic activity in vitro (2). Neurabin-II localizes to the head of dendritic spines (2) and aids in the ability of PP-1 to regulate the activity of a-amino-3-hydroxy-5-methyl-4-isoxazolepropionic acid (AMPA) and N-methyl-D-asparate (NMDA) receptors (3). In this manner, neurabin-II modulates both glutamatergic synaptic transmission and dendritic morphology (3). Synergistic interactions between spinophilin and human tumor supressor ARF suggest a role for neurabin-II in cell growth (5).
Function:
Seems to act as a scaffold protein in multiple signaling pathways. Modulates excitatory synaptic transmission and dendritic spine morphology. Binds to actin filaments (F-actin) and shows cross-linking activity. Binds along the sides of the F-actin. May play an important role in linking the actin cytoskeleton to the plasma membrane at the synaptic junction. Believed to target protein phosphatase 1/PP1 to dendritic spines, which are rich in F-actin, and regulates its specificity toward ion channels and other substrates, such as AMPA-type and NMDA-type glutamate receptors. Plays a role in regulation of G-protein coupled receptor signaling, including dopamine D2 receptors and alpha-adrenergic receptors. May establish a signaling complex for dopaminergic neurotransmission through D2 receptors by linking receptors downstream signaling molecules and the actin cytoskeleton. Binds to ADRA1B and RGS2 and mediates regulation of ADRA1B signaling. May confer to Rac signaling specificity by binding to both, RacGEFs and Rac effector proteins. Probably regulates p70 S6 kinase activity by forming a complex with TIAM1 (By similarity). Required for hepatocyte growth
Subunit:
Interacts with DCLK2 (By similarity). Possibly exists as a homodimer, homotrimer or a homotetramer. Interacts with F-actin, PPP1CA, neurabin-1, TGN38 and D(2) dopamine receptor. Interacts with RGS1, RGS2, RGS4, RGS19 and ADRA1B, ADRA2A, ADRA2B, ADRA2C, CDKN2A, PPP1R2, RASGFR1 and TIAM1. Interacts (via C-terminus) with SPATA13 (via C-terminal tail).
Subcellular Location:
Cytoplasm, cytoskeleton (By similarity). Nucleus (By similarity). Cell projection, dendritic spine (By similarity). Cell junction, synapse. Cell junction, adherens junction (By similarity). Cytoplasm. Cell membrane. Cell projection, lamellipodium. Cell projection, filopodium. Cell projection, ruffle membrane. Note=Enriched at synapse and cadherin-based cell-cell adhesion sites. In neurons, both cytosolic and membrane-associated, and highly enriched in the postsynaptic density apposed to exitatory synapses. Colocalizes with PPP1R2 at actin-rich adherens junctions in epithelial cells and in dendritic spines (By similarity). Accumulates in the lamellipodium, filopodium and ruffle membrane in response to hepatocyte growth factor (HGF) treatment.
Post-translational modifications:
Stimulation of D1 (but not D2) dopamine receptors induces Ser-94 phosphorylation. Dephosphorylation of Ser-94 is mediated mainly by PP1 and to a lesser extent by PP2A. Phosphorylation of spinophilin disrupts its association with F-actin, but does not affect its binding to PP1.
Similarity:
Contains 1 PDZ (DHR) domain.
SWISS:
Q96SB3
Gene ID:
84687
Database links:Entrez Gene: 84687Human
Entrez Gene: 217124Mouse
Entrez Gene: 84686Rat
Omim: 603325Human
SwissProt: Q96SB3Human
SwissProt: Q6R891Mouse
SwissProt: O35274Rat
Unigene: 514323Human
Unigene: 229087Mouse
Unigene: 476821Mouse
Unigene: 6764Rat
Important Note:
This product as supplied is intended for research use only, not for use in human, therapeutic or diagnostic applications.
- 产品图片
Sample:
Lung (Mouse) Lysate at 40 ug
Primary: Anti- Neurabin 2 (bs-12146R) at 1/1000 dilution
Secondary: IRDye800CW Goat Anti-Rabbit IgG at 1/20000 dilution
Predicted band size: 89 kD
Observed band size: 89 kD
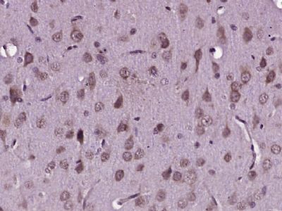
Paraformaldehyde-fixed, paraffin embedded (mouse brain tissue); Antigen retrieval by boiling in sodium citrate buffer (pH6.0) for 15min; Block endogenous peroxidase by 3% hydrogen peroxide for 20 minutes; Blocking buffer (normal goat serum) at 37°C for 30min; Antibody incubation with (Neurabin 2) Polyclonal Antibody, Unconjugated (bs-12146R) at 1:400 overnight at 4°C, followed by operating according to SP Kit(Rabbit) (sp-0023) instructionsand DAB staining.
Paraformaldehyde-fixed, paraffin embedded (rat brain tissue); Antigen retrieval by boiling in sodium citrate buffer (pH6.0) for 15min; Block endogenous peroxidase by 3% hydrogen peroxide for 20 minutes; Blocking buffer (normal goat serum) at 37°C for 30min; Antibody incubation with (Neurabin 2) Polyclonal Antibody, Unconjugated (bs-12146R) at 1:400 overnight at 4°C, followed by operating according to SP Kit(Rabbit) (sp-0023) instructionsand DAB staining.
Tissue/cell: rat brain tissue; 4% Paraformaldehyde-fixed and paraffin-embedded;
Antigen retrieval: citrate buffer ( 0.01M, pH 6.0 ), Boiling bathing for 15min; Block endogenous peroxidase by 3% Hydrogen peroxide for 30min; Blocking buffer (normal goat serum,C-0005) at 37℃ for 20 min;
Incubation: Anti-Neurabin 2 Polyclonal Antibody, Unconjugated(bs-12146R) 1:200, overnight at 4°C, followed by conjugation to the secondary antibody(SP-0023) and DAB(C-0010) staining

