产品中心
当前位置:首页>产品中心Anti-Laminin 2 alpha
货号: bs-8561R 基本售价: 1380.0 元 规格: 100ul
- 规格:100ul
- 价格:1380.00元
- 规格:200ul
- 价格:2200.00元
产品信息
- 产品编号
- bs-8561R
- 英文名称
- Laminin 2 alpha
- 中文名称
- 层粘蛋白α2抗体
- 别 名
- LAMA 2; LAMA2; LAMA2; LAMA2_HUMAN; Laminin alpha 2 (merosin congenital muscular dystrophy); Laminin alpha 2; Laminin alpha 2 chain; Laminin alpha 2 subunit; Laminin M; Laminin M chain; Laminin subunit alpha-2; Laminin-12 subunit alpha; Laminin-2 subunit alpha; Laminin-4 subunit alpha; LAMM; LAMM; Merosin heavy chain; Merosin heavy chain; Laminin-12 subunit alpha.
- 规格价格
- 100ul/1380元购买 200ul/2200元购买 大包装/询价
- 说 明 书
- 100ul 200ul
- 研究领域
- 细胞生物 信号转导 细胞粘附分子 细胞骨架
- 抗体来源
- Rabbit
- 克隆类型
- Polyclonal
- 交叉反应
- Human, Mouse, Rat, Dog, Pig, Cow, Horse, Rabbit,
- 产品应用
- ELISA=1:500-1000 IHC-P=1:400-800 IHC-F=1:400-800 ICC=1:100-500 IF=1:100-500 (石蜡切片需做抗原修复)
not yet tested in other applications.
optimal dilutions/concentrations should be determined by the end user.
- 分 子 量
- 341kDa
- 细胞定位
- 细胞膜 细胞外基质 分泌型蛋白
- 性 状
- Lyophilized or Liquid
- 浓 度
- 1mg/ml
- 免 疫 原
- KLH conjugated synthetic peptide derived from human Laminin 2 alpha:2051-2200/3122
- 亚 型
- IgG
- 纯化方法
- affinity purified by Protein A
- 储 存 液
- 0.01M TBS(pH7.4) with 1% BSA, 0.03% Proclin300 and 50% Glycerol.
- 保存条件
- Store at -20 °C for one year. Avoid repeated freeze/thaw cycles. The lyophilized antibody is stable at room temperature for at least one month and for greater than a year when kept at -20°C. When reconstituted in sterile pH 7.4 0.01M PBS or diluent of antibody the antibody is stable for at least two weeks at 2-4 °C.
- PubMed
- PubMed
- 产品介绍
- background:
Laminin, an extracellular protein, is a major component of the basement membrane. It is thought to mediate the attachment, migration, and organization of cells into tissues during embryonic development by interacting with other extracellular matrix components. It is composed of three subunits, alpha, beta, and gamma, which are bound to each other by disulfide bonds into a cross-shaped molecule. This gene encodes the alpha 2 chain, which constitutes one of the subunits of laminin 2 (merosin) and laminin 4 (s-merosin). Mutations in this gene have been identified as the cause of congenital merosin-deficient muscular dystrophy. Two transcript variants encoding different proteins have been found for this gene. [provided by RefSeq, Jul 2008].
Function:
Binding to cells via a high affinity receptor, laminin is thought to mediate the attachment, migration and organization of cells into tissues during embryonic development by interacting with other extracellular matrix components.
Subunit:
Laminin is a complex glycoprotein, consisting of three different polypeptide chains (alpha, beta, gamma), which are bound to each other by disulfide bonds into a cross-shaped molecule comprising one long and three short arms with globules at each end. Alpha-2 is a subunit of laminin-2 (laminin-211 or merosin), laminin-4 (laminin-221 or S-merosin) and laminin-12 (laminin-213). Interacts with FBLN1, FBLN2 and NID2.
Subcellular Location:
Secreted, extracellular space, extracellular matrix, basement membrane. Note=Major component.
Tissue Specificity:
Placenta, striated muscle, peripheral nerve, cardiac muscle, pancreas, lung, spleen, kidney, adrenal gland, skin, testis, meninges, choroid plexus, and some other regions of the brain; not in liver, thymus and bone.
DISEASE:
Defects in LAMA2 are the cause of merosin-deficient congenital muscular dystrophy type 1A (MDC1A) [MIM:607855]. MDC1A is characterized by difficulty walking, hypotonia, proximal weakness, hyporeflexia, and white matter hypodensity on MRI.
Similarity:
Contains 17 laminin EGF-like domains.
Contains 5 laminin G-like domains.
Contains 2 laminin IV type A domains.
Contains 1 laminin N-terminal domain.
SWISS:
P24043
Gene ID:
3908
Database links:Entrez Gene: 3908Human
Omim: 156225Human
SwissProt: P24043Human
Unigene: 200841Human
Important Note:
This product as supplied is intended for research use only, not for use in human, therapeutic or diagnostic applications.
- 产品图片
Paraformaldehyde-fixed, paraffin embedded (mouse placenta tissue); Antigen retrieval by boiling in sodium citrate buffer (pH6.0) for 15min; Block endogenous peroxidase by 3% hydrogen peroxide for 20 minutes; Blocking buffer (normal goat serum) at 37°C for 30min; Antibody incubation with (Laminin 2 alpha) Polyclonal Antibody, Unconjugated (bs-8561R) at 1:400 overnight at 4°C, followed by operating according to SP Kit(Rabbit) (sp-0023) instructionsand DAB staining.
Paraformaldehyde-fixed, paraffin embedded (rat spinal tissue); Antigen retrieval by boiling in sodium citrate buffer (pH6.0) for 15min; Block endogenous peroxidase by 3% hydrogen peroxide for 20 minutes; Blocking buffer (normal goat serum) at 37°C for 30min; Antibody incubation with (Laminin 2 alpha) Polyclonal Antibody, Unconjugated (bs-8561R) at 1:400 overnight at 4°C, followed by operating according to SP Kit(Rabbit) (sp-0023) instructionsand DAB staining.
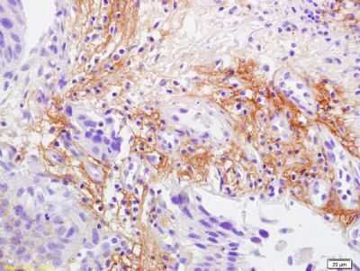
Tissue/cell: human bladder carcinoma; 4% Paraformaldehyde-fixed and paraffin-embedded;
Antigen retrieval: citrate buffer ( 0.01M, pH 6.0 ), Boiling bathing for 15min; Block endogenous peroxidase by 3% Hydrogen peroxide for 30min; Blocking buffer (normal goat serum,C-0005) at 37℃ for 20 min;
Incubation: Anti-Laminin 2 alpha Polyclonal Antibody, Unconjugated(bs-8561R) 1:200, overnight at 4°C, followed by conjugation to the secondary antibody(SP-0023) and DAB(C-0010) staining

