产品中心
当前位置:首页>产品中心Anti-Lin28
货号: bs-8443R 基本售价: 1380.0 元 规格: 100ul
- 规格:100ul
- 价格:1380.00元
- 规格:200ul
- 价格:2200.00元
产品信息
- 产品编号
- bs-8443R
- 英文名称
- Lin28
- 中文名称
- RNA结合蛋白LIN28抗体
- 别 名
- Lin 28; Lin28A; Lin 28 homolog (C. elegans); Lin 28 homolog A; Lin 28 homolog; Lin-28;y Lin-28 homolog (C. elegans); Lin-28 homolog A; Lin-28A; Lin28; Lin28a; LN28A_HUMAN; Protein lin-28 homolog A; RNA binding protein lin 28; RNA binding protein lin-28; Tex17; ZCCHC1; Zinc finger CCHC domain containing 1; Zinc finger CCHC domain containing protein 1; Zinc finger CCHC domain-containing protein 1; AL024421; CSDD1.
- 规格价格
- 100ul/1380元购买 200ul/2200元购买 大包装/询价
- 说 明 书
- 100ul 200ul
- 研究领域
- 细胞生物 免疫学 发育生物学 神经生物学 干细胞 表观遗传学
- 抗体来源
- Rabbit
- 克隆类型
- Polyclonal
- 交叉反应
- Human, Mouse, Rat, Pig, Cow, Horse, Rabbit, Sheep,
- 产品应用
- WB=1:500-2000 ELISA=1:500-1000 IHC-P=1:400-800 IHC-F=1:400-800 IF=1:50-200 (石蜡切片需做抗原修复)
not yet tested in other applications.
optimal dilutions/concentrations should be determined by the end user.
- 分 子 量
- 29kDa
- 细胞定位
- 细胞核 细胞浆
- 性 状
- Lyophilized or Liquid
- 浓 度
- 1mg/ml
- 免 疫 原
- KLH conjugated synthetic peptide derived from human Lin28:75-180/209
- 亚 型
- IgG
- 纯化方法
- affinity purified by Protein A
- 储 存 液
- 0.01M TBS(pH7.4) with 1% BSA, 0.03% Proclin300 and 50% Glycerol.
- 保存条件
- Store at -20 °C for one year. Avoid repeated freeze/thaw cycles. The lyophilized antibody is stable at room temperature for at least one month and for greater than a year when kept at -20°C. When reconstituted in sterile pH 7.4 0.01M PBS or diluent of antibody the antibody is stable for at least two weeks at 2-4 °C.
- PubMed
- PubMed
- 产品介绍
- background:
LIN-28 is a highly conserved, RNA-binding, cytoplasmic protein. It consists of a cold shock domain and retroviral-type (CCHC) zinc finger motifs that were first identified in Caenorhabditis elegans. LIN-28 controls the timing of events during embryonic development and is readily expressed in embryos, embryonic stem cells and embryonal carcinoma cells. The presence of LIN-28 persists in some adult tissues including cardiac and skeletal muscle. In differentiating myoblasts, LIN-28 increases protein synthesis efficiency and binds to the growth and differentiation factor IGF-II.
Function:
Acts as a translational enhancer, driving specific mRNAs to polysomes and thus increasing the efficiency of protein synthesis. Its association with the translational machinery and target mRNAs results in an increased number of initiation events per molecule of mRNA and, indirectly, in stabilizing the mRNAs. Binds IGF2 mRNA, MYOD1 mRNA, ARBP/36B4 ribosomal protein mRNA and its own mRNA. Essential for skeletal muscle differentiation program through the translational up-regulation of IGF2 expression (By similarity). Acts as a suppressor of microRNA (miRNA) biogenesis by specifically binding the precursor let-7 (pre-let-7), a miRNA precursor. Acts by binding pre-let-7 and recruiting ZCCHC11/TUT4 uridylyltransferase, leading to the terminal uridylation of pre-let-7. Uridylated pre-let-7 miRNAs fail to be processed by Dicer and undergo degradation. Degradation of pre-let-7 in embryonic stem (ES) cells contributes to the maintenance of ES cells. In contrast, LIN28A down-regulation in neural stem cells by miR-125, allows the processing of pre-let-7. Specifically recognizes the 5-GGAG-3 motif in the terminal loop of pre-let-7. Also recognizes and binds non pre-let-7 pre-miRNAs that contain the 5-GGAG-3 motif in the terminal loop, leading to their terminal uridylation and subsequent degradation.
Subunit:
Monomer. During skeletal muscle differentiation, associated with translation initiation complexes in the polysomal compartment. Directly interacts with EIF3S2. Interaction with NCL is RNA-dependent (By similarity). Interacts with ZCCHC11/TUT4.
Subcellular Location:
Cytoplasm. Nucleus > nucleolus. Nucleolar localization observed in 10-15% of the nuclei in differentiated myotubes (By similarity). Shuttles between the cytoplasm and the nucleus. Localizes to cytoplasmic processing bodies and stress granules.
Tissue Specificity:
Expressed in embryonic stem cells (ES cells), placenta and testis.
Similarity:
Belongs to the lin-28 family.
Contains 2 CCHC-type zinc fingers.
Contains 1 CSD (cold-shock) domain.
SWISS:
Q9H9Z2
Gene ID:
79727
Database links:Entrez Gene: 79727Human
Entrez Gene: 83557Mouse
Entrez Gene: 500562Rat
Omim: 611043Human
SwissProt: Q9H9Z2Human
SwissProt: Q8K3Y3Mouse
Unigene: 86154Human
Unigene: 302567Mouse
Unigene: 147538Rat
Important Note:
This product as supplied is intended for research use only, not for use in human, therapeutic or diagnostic applications.
- 产品图片
Sample:
Placenta (Mouse) Lysate at 40 ug
Primary: Anti-Lin28 (bs-8443R) at 1/1000 dilution
Secondary: IRDye800CW Goat Anti-Rabbit IgG at 1/20000 dilution
Predicted band size: 29 kD
Observed band size: 29 kD
Tissue/cell: mouse embryo tissue; 4% Paraformaldehyde-fixed and paraffin-embedded;
Antigen retrieval: citrate buffer ( 0.01M, pH 6.0 ), Boiling bathing for 15min; Block endogenous peroxidase by 3% Hydrogen peroxide for 30min; Blocking buffer (normal goat serum,C-0005) at 37℃ for 20 min;
Incubation: Anti-Lin28 Polyclonal Antibody, Unconjugated(bs-8443R) 1:200, overnight at 4°C, followed by conjugation to the secondary antibody(SP-0023) and DAB(C-0010) staining
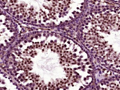
Paraformaldehyde-fixed, paraffin embedded (Rat testis); Antigen retrieval by boiling in sodium citrate buffer (pH6.0) for 15min; Block endogenous peroxidase by 3% hydrogen peroxide for 20 minutes; Blocking buffer (normal goat serum) at 37°C for 30min; Antibody incubation with (Lin28) Polyclonal Antibody, Unconjugated (bs-8443R) at 1:400 overnight at 4°C, followed by operating according to SP Kit(Rabbit) (sp-0023) instructions and DAB staining.

