产品中心
当前位置:首页>产品中心Anti-Wnt6
货号: bs-6135R 基本售价: 1380.0 元 规格: 100ul
- 规格:100ul
- 价格:1380.00元
- 规格:200ul
- 价格:2200.00元
产品信息
- 产品编号
- bs-6135R
- 英文名称
- Wnt6
- 中文名称
- 信号通路Wnt6抗体
- 别 名
- Protein Wnt-6 precursor; WINGLESS-TYPE MMTV INTEGRATION SITE FAMILY, MEMBER 6; wnt 6; WNT6_HUMAN.
- 规格价格
- 100ul/1380元购买 200ul/2200元购买 大包装/询价
- 说 明 书
- 100ul 200ul
- 研究领域
- 肿瘤 细胞生物 免疫学 染色质和核信号 细胞周期蛋白 转录调节因子
- 抗体来源
- Rabbit
- 克隆类型
- Polyclonal
- 交叉反应
- Human, Mouse, Rat,
- 产品应用
- WB=1:500-2000 ELISA=1:500-1000 IHC-P=1:400-800 IHC-F=1:400-800 IF=1:100-500 (石蜡切片需做抗原修复)
not yet tested in other applications.
optimal dilutions/concentrations should be determined by the end user.
- 分 子 量
- 38kDa
- 细胞定位
- 细胞外基质 分泌型蛋白
- 性 状
- Lyophilized or Liquid
- 浓 度
- 1mg/ml
- 免 疫 原
- KLH conjugated synthetic peptide derived from human Wnt6:281-365/365
- 亚 型
- IgG
- 纯化方法
- affinity purified by Protein A
- 储 存 液
- 0.01M TBS(pH7.4) with 1% BSA, 0.03% Proclin300 and 50% Glycerol.
- 保存条件
- Store at -20 °C for one year. Avoid repeated freeze/thaw cycles. The lyophilized antibody is stable at room temperature for at least one month and for greater than a year when kept at -20°C. When reconstituted in sterile pH 7.4 0.01M PBS or diluent of antibody the antibody is stable for at least two weeks at 2-4 °C.
- PubMed
- PubMed
- 产品介绍
- background:
Wnt6 is a member of the WNT protein family. These proteins have been implicated in oncogenesis and in several developmental processes, including regulation of cell fate and patterning during embryogenesis. Wnt6 is overexpressed in cervical and breast cell carcinomas and is co-expressed with Wnt10a in colorectal cancer cell lines.
Subunit:
Interacts with PORCN.
Subcellular Location:
Secreted, extracellular space, extracellular matrix.
Similarity:
Belongs to the Wnt family.
SWISS:
Q9Y6F9
Gene ID:
7475
Database links:Entrez Gene: 7475 Human
Entrez Gene: 22420 Mouse
Entrez Gene: 316526 Rat
Omim: 604663 Human
SwissProt: Q9Y6F9 Human
SwissProt: P22727 Mouse
Unigene: 29764 Human
Unigene: 268282 Mouse
Important Note:
This product as supplied is intended for research use only, not for use in human, therapeutic or diagnostic applications.
- 产品图片
Sample:
NIH/3T3(Mouse) Cell Lysate at 30 ug
Primary: Anti-Wnt6 (bs-6135R) at 1/1000 dilution
Secondary: IRDye800CW Goat Anti-Rabbit IgG at 1/20000 dilution
Predicted band size: 38 kD
Observed band size: 48 kD
Sample:
MKN45(Human) Cell Lysate at 30 ug
Primary: Anti-Wnt6 (bs-6135R) at 1/1000 dilution
Secondary: IRDye800CW Goat Anti-Rabbit IgG at 1/20000 dilution
Predicted band size: 38 kD
Observed band size: 42 kD
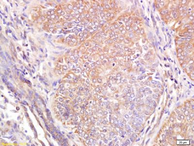
Tissue/cell: human breast carcinoma; 4% Paraformaldehyde-fixed and paraffin-embedded;
Antigen retrieval: citrate buffer ( 0.01M, pH 6.0 ), Boiling bathing for 15min; Block endogenous peroxidase by 3% Hydrogen peroxide for 30min; Blocking buffer (normal goat serum,C-0005) at 37℃ for 20 min;
Incubation: Anti-Wnt6 Polyclonal Antibody, Unconjugated(bs-6135R) 1:200, overnight at 4°C, followed by conjugation to the secondary antibody(SP-0023) and DAB(C-0010) staining

