产品中心
当前位置:首页>产品中心Anti-Phospho-Mst2(Thr180)
货号: bs-4634R 基本售价: 1580.0 元 规格: 100ul
产品信息
- 产品编号
- bs-4634R
- 英文名称
- Phospho-Mst2 (Thr180)
- 中文名称
- 磷酸化蛋白激酶MST2抗体
- 别 名
- Phospho-Mst2(T180); Mst2(Phospho T180); STK4; Krs2; Mammalian STE20 like protein kinase 1; Mammalian sterile 20 like 1; Serine/threonine protein kinase Krs 2; STE20 like kinase MST1; STK4(Thr183)/STK3(Thr180); Mst1/2(Thr183/Thr180); STK4/3(Thr183/Thr180).
- 规格价格
- 100ul/1580元购买 大包装/询价
- 说 明 书
- 100ul
- 产品类型
- 磷酸化抗体
- 研究领域
- 肿瘤 细胞生物 免疫学 信号转导 细胞凋亡 转录调节因子 激酶和磷酸酶
- 抗体来源
- Rabbit
- 克隆类型
- Polyclonal
- 交叉反应
- Human, Mouse, Rat, Rabbit,
- 产品应用
- WB=1:500-2000 ELISA=1:500-1000 IHC-P=1:400-800 IHC-F=1:400-800 IF=1:100-500 (石蜡切片需做抗原修复)
not yet tested in other applications.
optimal dilutions/concentrations should be determined by the end user.
- 分 子 量
- 56kDa
- 细胞定位
- 细胞核 细胞浆
- 性 状
- Lyophilized or Liquid
- 浓 度
- 1mg/ml
- 免 疫 原
- KLH conjugated Synthesised phosphopeptide derived from human Mst2 around the phosphorylation site of Thr180.:RN(p-T)VI
- 亚 型
- IgG
- 纯化方法
- affinity purified by Protein A
- 储 存 液
- 0.01M TBS(pH7.4) with 1% BSA, 0.03% Proclin300 and 50% Glycerol.
- 保存条件
- Store at -20 °C for one year. Avoid repeated freeze/thaw cycles. The lyophilized antibody is stable at room temperature for at least one month and for greater than a year when kept at -20°C. When reconstituted in sterile pH 7.4 0.01M PBS or diluent of antibody the antibody is stable for at least two weeks at 2-4 °C.
- PubMed
- PubMed
- 产品介绍
- background:
MST1/STK4 encoded by this gene is a cytoplasmic kinase that is structurally similar to the yeast Ste20p kinase, which acts upstream of the stress-induced mitogen-activated protein kinase cascade. The encoded protein can phosphorylate myelin basic protein and undergoes autophosphorylation. A caspase-cleaved fragment of the encoded protein has been shown to be capable of phosphorylating histone H2B. The particular phosphorylation catalyzed by this protein has been correlated with apoptosis, and its possible that this protein induces the chromatin condensation observed in this process.
Function:
Stress-activated, pro-apoptotic kinase which, following caspase-cleavage, enters the nucleus and induces chromatin condensation followed by internucleosomal DNA fragmentation. Key component of the Hippo signaling pathway which plays a pivotal role in organ size control and tumor suppression by restricting proliferation and promoting apoptosis. The core of this pathway is composed of a kinase cascade wherein STK3/MST2 and STK4/MST1, in complex with its regulatory protein SAV1, phosphorylates and activates LATS1/2 in complex with its regulatory protein MOB1, which in turn phosphorylates and inactivates YAP1 oncoprotein and WWTR1/TAZ. Phosphorylation of YAP1 by LATS2 inhibits its translocation into the nucleus to regulate cellular genes important for cell proliferation, cell death, and cell migration. STK3/MST2 and STK4/MST1 are required to repress proliferation of mature hepatocytes, to prevent activation of facultative adult liver stem cells (oval cells), and to inhibit tumor formation. Phosphorylates NKX2-1 (By similarity). Phosphorylates NEK2 and plays a role in centrosome disjunction by regulating the localization of NEK2 to centrosome, and its ability to phosphorylate CROCC and CEP250. In conjunction with SAV1, activates the transcriptional activity of ESR1 through the modulation of its phosphorylation. Positively regulates RAF1 activation via suppression of the inhibitory phosphorylation of RAF1 on Ser-259. Phosphorylates MOBKL1A and RASSF2. Phosphorylates MOBKL1B on Thr-74. Acts cooperatively with MOBKL1B to activate STK38.
Subunit:
Homodimer; mediated via the coiled-coil region. Interacts with NORE1, which inhibits autoactivation. Interacts with and stabilizes SAV1. Interacts with RAF1, which prevents dimerization and phosphorylation. Interacts with RASSF1. Interacts (via SARAH domain) with isoform 1 of NEK2. Interacts with ESR1 only in the presence of SAV1. Interacts with PKB/AKT1. Forms a tripartite complex with MOBKL1B and STK38. Interacts with RASSF2 (via SARAH domain).
Subcellular Location:
Cytoplasm. Nucleus. Note=The caspase-cleaved form cycles between nucleus and cytoplasm. Phosphorylation at Thr-117 leads to inhibition of nuclear translocation.
Tissue Specificity:
Expressed at high levels in adult kidney, skeletal and placenta tissues and at very low levels in adult heart, lung and brain tissues.
Post-translational modifications:
Phosphorylation at Thr-117 and Thr-384 by PKB/AKT1, leads to inhibition of its: cleavage, kinase activity, autophosphorylation at Thr-180, binding to RASSF1 and nuclear translocation, and increase in its binding to RAF1.
Proteolytically cleaved by caspase-3 during apoptosis. Proteolytic cleavage results in kinase activation and nuclear translocation of the truncated form (MST1/N).
Similarity:
Belongs to the protein kinase superfamily. STE Ser/Thr protein kinase family. STE20 subfamily.
Contains 1 protein kinase domain.
Contains 1 SARAH domain.
SWISS:
Q13188
Gene ID:
6788
Database links:Entrez Gene: 6788 Human
Entrez Gene: 56274 Mouse
Entrez Gene: 65189 Rat
Omim: 605030 Human
SwissProt: Q13188 Human
SwissProt: Q9JI10 Mouse
SwissProt: O54748 Rat
Unigene: 492333 Human
Unigene: 262330 Mouse
Unigene: 89363 Rat
Important Note:
This product as supplied is intended for research use only, not for use in human, therapeutic or diagnostic applications.
蛋白激酶MST(Mammalian Sterile20-like Kinase) 是各种组织均有表达的丝氨酸/苏氨酸(Serine/Threonine)蛋白激酶。属于人丝氨酸/苏氨酸激酶的哺乳动物STE20样激酶(MST),MST1和MST2在caspase蛋白酶激活的细胞凋亡的上游和下游都起作用。 细胞凋亡中MST1被caspase蛋白酶切割和激活,能诱导细胞凋亡形态上的改变如染色质凝聚。哺乳动物STE20样激酶2 (Mst2) 与Mst1蛋白激酶很相似,有近90%的同源性。
- 产品图片
Sample:
Muscle (Mouse) Lysate at 40 ug
Primary: Anti-Phospho-Mst2(Thr180) (bs-4634R) at 1/1000 dilution
Secondary: IRDye800CW Goat Anti-Rabbit IgG at 1/20000 dilution
Predicted band size: 56 kD
Observed band size: 56 kD
Tissue/cell: Mouse Placenta tissue; 4% Paraformaldehyde-fixed and paraffin-embedded;
Antigen retrieval: citrate buffer ( 0.01M, pH 6.0 ), Boiling bathing for 15min; Block endogenous peroxidase by 3% Hydrogen peroxide for 30min; Blocking buffer (normal goat serum,C-0005) at 37℃ for 20 min;
Incubation: Anti- Phospho-Mst2 Polyclonal Antibody, Unconjugated(bs-4634R) 1:200, overnight at 4°C, followed by conjugation to the secondary antibody(SP-0023) and DAB(C-0010) staining
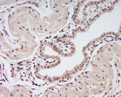
Tissue/cell: human kidney tissue; 4% Paraformaldehyde-fixed and paraffin-embedded;
Antigen retrieval: citrate buffer ( 0.01M, pH 6.0 ), Boiling bathing for 15min; Block endogenous peroxidase by 3% Hydrogen peroxide for 30min; Blocking buffer (normal goat serum,C-0005) at 37℃ for 20 min;
Incubation: Anti- Phospho-Mst2 Polyclonal Antibody, Unconjugated(bs-4634R) 1:200, overnight at 4°C, followed by conjugation to the secondary antibody(SP-0023) and DAB(C-0010) staining

