产品中心
当前位置:首页>产品中心Anti-TMEFF2
货号: bs-3849R 基本售价: 1380.0 元 规格: 100ul
- 规格:100ul
- 价格:1380.00元
- 规格:200ul
- 价格:2200.00元
产品信息
- 产品编号
- bs-3849R
- 英文名称
- TMEFF2
- 中文名称
- 增生性息肉蛋白1抗体
- 别 名
- Tomoregulin-2; HPP 1; HPP1; Hyperplastic polyposis protein 1; TEFF 2; TEFF2; TENB 2; TENB2; Tomoregulin; TPEF; TR; Transmembrane protein containing epidermal growth factor and follistatin domains ; Transmembrane protein TENB2; Transmembrane protein with EGF like and two follistatin like domains 2; TEFF2_HUMAN.
- 规格价格
- 100ul/1380元购买 200ul/2200元购买 大包装/询价
- 说 明 书
- 100ul 200ul
- 研究领域
- 肿瘤 细胞生物 免疫学 神经生物学 生长因子和激素
- 抗体来源
- Rabbit
- 克隆类型
- Polyclonal
- 交叉反应
- Human, Mouse, Rat, Chicken, Dog, Pig, Cow, Horse, Rabbit, Guinea Pig,
- 产品应用
- WB=1:500-2000 ELISA=1:500-1000 IHC-P=1:400-800 IHC-F=1:400-800 IF=1:100-500 (石蜡切片需做抗原修复)
not yet tested in other applications.
optimal dilutions/concentrations should be determined by the end user.
- 分 子 量
- 37kDa
- 细胞定位
- 分泌型蛋白
- 性 状
- Lyophilized or Liquid
- 浓 度
- 1mg/ml
- 免 疫 原
- KLH conjugated synthetic peptide derived from human TMEFF2:301-374/374 <Cytoplasmic>
- 亚 型
- IgG
- 纯化方法
- affinity purified by Protein A
- 储 存 液
- 0.01M TBS(pH7.4) with 1% BSA, 0.03% Proclin300 and 50% Glycerol.
- 保存条件
- Store at -20 °C for one year. Avoid repeated freeze/thaw cycles. The lyophilized antibody is stable at room temperature for at least one month and for greater than a year when kept at -20°C. When reconstituted in sterile pH 7.4 0.01M PBS or diluent of antibody the antibody is stable for at least two weeks at 2-4 °C.
- PubMed
- PubMed
- 产品介绍
- background:
TMEFF2 is a growth factor implicated in the progression of prostate cancer. It is highly expressed in the brain and may act as a survival factor for mesencephalic and hippocampal neurons.
Function:
May be a survival factor for hippocampal and mesencephalic neurons. The shedded form up-regulates cancer cell proliferation, probably by promoting ERK1/2 phosphorylation.
Subcellular Location:
Isoform 1: Membrane; Single-pass type I membrane protein (Potential).
Isoform 2: Membrane; Single-pass type I membrane protein (Potential).
Isoform 3: Secreted.
Tissue Specificity:
Highly expressed in adult and fetal brain, spinal cord and prostate. Expressed in all brain regions except the pituitary gland, with highest levels in amygdala and corpus callosum. Expressed in the pericryptal myofibroblasts and other stromal cells of normal colonic mucosa. Expressed in prostate carcinoma. Down-regulated in colorectal cancer. Present in Alzheimer disease plaques (at protein level). Isoform 3 is expressed weakly in testis and at high levels in normal and cancerous prostate.
Post-translational modifications:
N-glycosylated. Contains chondroitin sulfate glycosaminoglycans.
A soluble form (TMEFF2-ECD) is produced by proteolytic shedding. This shedding can be induced by phorbol ester or proinflammatory cytokines such as TNFalpha, and is mediated by ADAM17.
Similarity:
Belongs to the tomoregulin family.
Contains 1 EGF-like domain.
Contains 2 Kazal-like domains.
SWISS:
Q9UIK5
Gene ID:
23671
Database links:Entrez Gene: 538354 Cow
Entrez Gene: 23671 Human
Entrez Gene: 56363 Mouse
Omim: 605734 Human
SwissProt: Q17QD6 Cow
SwissProt: Q9UIK5 Human
SwissProt: Q9QYM9 Mouse
Unigene: 144513 Human
Unigene: 245154 Mouse
Unigene: 445120 Mouse
Important Note:
This product as supplied is intended for research use only, not for use in human, therapeutic or diagnostic applications.
- 产品图片
Sample:
Cerebrum (Rat) Lysate at 40 ug
Primary: Anti-TMEFF2 (bs-3849R) at 1/1000 dilution
Secondary: IRDye800CW Goat Anti-Rabbit IgG at 1/20000 dilution
Predicted band size: 37 kD
Observed band size: 48 kD
Paraformaldehyde-fixed, paraffin embedded (human liver carcinoma); Antigen retrieval by boiling in sodium citrate buffer (pH6.0) for 15min; Block endogenous peroxidase by 3% hydrogen peroxide for 20 minutes; Blocking buffer (normal goat serum) at 37°C for 30min; Antibody incubation with (TMEFF2) Polyclonal Antibody, Unconjugated (bs-3849R) at 1:400 overnight at 4°C, followed by operating according to SP Kit(Rabbit) (sp-0023) instructionsand DAB staining.
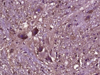
Paraformaldehyde-fixed, paraffin embedded (rat spinal tissue); Antigen retrieval by boiling in sodium citrate buffer (pH6.0) for 15min; Block endogenous peroxidase by 3% hydrogen peroxide for 20 minutes; Blocking buffer (normal goat serum) at 37°C for 30min; Antibody incubation with (TMEFF2) Polyclonal Antibody, Unconjugated (bs-3849R) at 1:400 overnight at 4°C, followed by operating according to SP Kit(Rabbit) (sp-0023) instructionsand DAB staining.

