产品中心
当前位置:首页>产品中心Anti-phospho-HSF1 (Ser326)
货号: bs-3741R 基本售价: 1580.0 元 规格: 100ul
产品信息
- 产品编号
- bs-3741R
- 英文名称
- phospho-HSF1 (Ser326)
- 中文名称
- 磷酸化热休克因子1抗体
- 别 名
- HSF1 (phospho S326); p-HSF1 (phospho S326); Heat shock factor 1; Heat shock factor protein 1; Heat shock transcription factor 1; HSF 1; hsf1; HSTF 1; HSTF1.

- Specific References (1) | bs-3741R has been referenced in 1 publications.[IF=5.08] Evert, M., et al. "Deregulation of DNA-dependent protein kinase catalytic subunit contributes to human hepatocarcinogenesis development and has a putative prognostic value." British Journal of Cancer (2013). Human.PubMed:24136149
- 规格价格
- 100ul/1580元购买 大包装/询价
- 说 明 书
- 100ul
- 产品类型
- 磷酸化抗体
- 研究领域
- 肿瘤 免疫学 信号转导 细胞凋亡 转录调节因子
- 抗体来源
- Rabbit
- 克隆类型
- Polyclonal
- 交叉反应
- Human, Mouse, Rat,
- 产品应用
- WB=1:500-2000 ELISA=1:500-1000 IHC-P=1:400-800 IHC-F=1:400-800 IF=1:100-500 (石蜡切片需做抗原修复)
not yet tested in other applications.
optimal dilutions/concentrations should be determined by the end user.
- 分 子 量
- 57kDa
- 细胞定位
- 细胞核 细胞浆
- 性 状
- Lyophilized or Liquid
- 浓 度
- 1mg/ml
- 免 疫 原
- KLH conjugated Synthesised phosphopeptide derived from human HSF1 around the phosphorylation site of Ser326:L(p-S)PT
- 亚 型
- IgG
- 纯化方法
- affinity purified by Protein A
- 储 存 液
- 0.01M TBS(pH7.4) with 1% BSA, 0.03% Proclin300 and 50% Glycerol.
- 保存条件
- Store at -20 °C for one year. Avoid repeated freeze/thaw cycles. The lyophilized antibody is stable at room temperature for at least one month and for greater than a year when kept at -20°C. When reconstituted in sterile pH 7.4 0.01M PBS or diluent of antibody the antibody is stable for at least two weeks at 2-4 °C.
- PubMed
- PubMed
- 产品介绍
- background:
The product of this gene is a heat-shock transcription factor. Transcription of heat-shock genes is rapidly induced after temperature stress. Hsp90, by itself and/or associated with multichaperone complexes, is a major repressor of this gene. [provided by RefSeq, Jul 2008]
Function:
DNA-binding protein that specifically binds heat shockpromoter elements (HSE) and activates transcription. In highereukaryotes, HSF is unable to bind to the HSE unless the cells areheat shocked.
Subunit:
Monomer. Under normal conditions, interacts with HSP90AA1in the HSP90 multichaperone complex; the interaction preventstrimerization and activation of HSF1. On activation by heat-stressor by other factors such as metal ions, HSF1 is released from thecomplex, homotrimerizes, is hyperphosphorylated and translocated tothe nucleus where, subsequently, it can activate transcription.Binds the complex through the regulatory domain. Interacts withSYMPK and CSTF2 in heat-stressed cells. Interacts with FKBP4 in theHSP90 multichaperone complex; the interaction is independent of thephosphorylation state of HSF1. Interacts with MAPKAPK2.
Subcellular Location:
Cytoplasm. Nucleus. Note=Cytoplasmic duringnormal growth. On activation, translocates to nuclear stressgranules. Colocalizes with SUMO1 in nuclear stress granules.
Post-translational modifications:
Phosphorylated on multiple serine residues, a subset of whichare involved in stress-related regulation of transcriptionactivation. Constitutive phosphorylation represses transcriptionalactivity at normal temperatures. Levels increase on specificresidues heat-shock and enhance HSF1 transactivation activity.Phosphorylation on Ser-307 derepresses activation on heat-stressand in combination with Ser-303 phosphorylation appears to beinvolved in recovery after heat-stress. Phosphorylated on Ser-230by CAMK2, in vitro. Cadmium also enhances phosphorylation at thissite. Phosphorylation on Ser-303 is a prerequisite for HSF1sumoylation. Phosphorylation on Ser-121 inhibits transactivationand promotes HSP90 binding. Phosphorylation on Thr-142 alsomediates transcriptional activity induced by heat.
Sumoylated with SUMO1 and SUMO2 on heat-shock. Heat-induciblesumoylation occurs after 15 min of heat-shock, after which levelsdecrease and at 4 hours, levels return to control levels.Sumoylation has no effect on HSE binding nor on transcriptionalactivity. Phosphorylation on Ser-303 is a prerequisite forsumoylation.
Similarity:
Belongs to the HSF family.
SWISS:
Q00613
Gene ID:
3297
Database links:Entrez Gene: 3297Human
Omim: 140580Human
SwissProt: Q00613Human
Unigene: 530227Human
Important Note:
This product as supplied is intended for research use only, not for use in human, therapeutic or diagnostic applications.
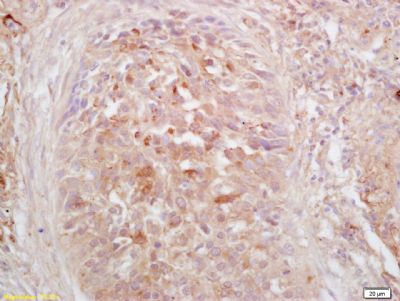
- 产品图片
Tissue/cell: human lung carcinoma; 4% Paraformaldehyde-fixed and paraffin-embedded;
Antigen retrieval: citrate buffer ( 0.01M, pH 6.0 ), Boiling bathing for 15min; Block endogenous peroxidase by 3% Hydrogen peroxide for 30min; Blocking buffer (normal goat serum,C-0005) at 37℃ for 20 min;
Incubation: Anti-phospho-HSF1(Ser326) Polyclonal Antibody, Unconjugated(bs-3741R) 1:200, overnight at 4°C, followed by conjugation to the secondary antibody(SP-0023) and DAB(C-0010) staining
Tissue/cell: rat brain tissue; 4% Paraformaldehyde-fixed and paraffin-embedded;
Antigen retrieval: citrate buffer ( 0.01M, pH 6.0 ), Boiling bathing for 15min; Block endogenous peroxidase by 3% Hydrogen peroxide for 30min; Blocking buffer (normal goat serum,C-0005) at 37℃ for 20 min;
Incubation: Anti-phospho-HSF1(Ser326) Polyclonal Antibody, Unconjugated(bs-3741R) 1:200, overnight at 4°C, followed by conjugation to the secondary antibody(SP-0023) and DAB(C-0010) staining
Blank control(blue): Mouse spleen (fixed with 2% paraformaldehyde (10 min) , then permeabilized with 90% ice-cold methanol for 30 min on ice).
Primary Antibody:Rabbit Anti-phospho-HSF1 (Ser326) antibody(bs-3741R), Dilution: 5μg in 100 μL 1X PBS containing 0.5% BSA;
Isotype Control Antibody: Rabbit IgG(orange) ,used under the same conditions );
Secondary Antibody: Goat anti-rabbit IgG-PE(white blue), Dilution: 1:200 in 1 X PBS containing 0.5% BSA.

