产品中心
当前位置:首页>产品中心Anti-RIP2
货号: bs-3546R 基本售价: 1380.0 元 规格: 100ul
- 规格:100ul
- 价格:1380.00元
- 规格:200ul
- 价格:2200.00元
产品信息
- 产品编号
- bs-3546R
- 英文名称
- RIP2
- 中文名称
- 受体结合丝氨酸苏氨酸激酶2抗体
- 别 名
- Receptor interacting protein 2; Receptor interacting serine threonine kinase 2; Receptor interacting serine/threonine protein kinase 2; RICK; RIP 2; RIP LIKE INTERACTING CLARP KINASE; RIPK 2; RIPK2; TNFRSF; CARD 3; CARD carrying kinase; CARD CONTAINING ICE ASSOCIATED KINASE; CARD containing IL 1 beta ICE kinase; CARD containing IL1 beta ICE kinase; CARD containing interleukin 1 beta converting enzyme (ICE) associated kinase; CARD containing interleukin 1 beta converting enzyme associated kinase; CARD3; CARDIAK; CCK; CLARP kinase; GIG 30; GIG30 ; Growth inhibiting gene 30; Receptor interacting protein (RIP) like interacting caspase like apoptosis regulatory protein (CLARP) kinase.
- 规格价格
- 100ul/1380元购买 200ul/2200元购买 大包装/询价
- 说 明 书
- 100ul 200ul
- 研究领域
- 肿瘤 细胞生物 免疫学 细胞膜受体
- 抗体来源
- Rabbit
- 克隆类型
- Polyclonal
- 交叉反应
- Human, Mouse, Rat, Dog, Pig, Cow, Rabbit, Guinea Pig,
- 产品应用
- WB=1:500-2000 ELISA=1:500-1000 IHC-P=1:400-800 IHC-F=1:400-800 IF=1:100-500 (石蜡切片需做抗原修复)
not yet tested in other applications.
optimal dilutions/concentrations should be determined by the end user.
- 分 子 量
- 60kDa
- 细胞定位
- 细胞浆
- 性 状
- Lyophilized or Liquid
- 浓 度
- 1mg/ml
- 免 疫 原
- KLH conjugated synthetic peptide derived from human RIP2:401-540/540
- 亚 型
- IgG
- 纯化方法
- affinity purified by Protein A
- 储 存 液
- 0.01M TBS(pH7.4) with 1% BSA, 0.03% Proclin300 and 50% Glycerol.
- 保存条件
- Store at -20 °C for one year. Avoid repeated freeze/thaw cycles. The lyophilized antibody is stable at room temperature for at least one month and for greater than a year when kept at -20°C. When reconstituted in sterile pH 7.4 0.01M PBS or diluent of antibody the antibody is stable for at least two weeks at 2-4 °C.
- PubMed
- PubMed
- 产品介绍
- background:
This gene encodes a member of the receptor-interacting protein (RIP) family of serine/threonine protein kinases. The encoded protein contains a C-terminal caspase activation and recruitment domain (CARD), and is a component of signaling complexes in both the innate and adaptive immune pathways. It is a potent activator of NF-kappaB and inducer of apoptosis in response to various stimuli. [provided by RefSeq, Jul 2008].
Function:
Serine/threonine/tyrosine kinase that plays an essential role in modulation of innate and adaptive immune responses. Upon stimulation by bacterial peptidoglycans, NOD1 and NOD2 are activated, oligomerize and recruit RIPK2 through CARD-CARD domains. Contributes to the tyrosine phosphorylation of the guanine exchange factor ARHGEF2 through Src tyrosine kinase leading to NF-kappaB activation by NOD2. Once recruited, RIPK2 autophosphorylates and undergoes Lys-63-linked polyubiquitination by E3 ubiquitin ligases XIAP, BIRC2 and BIRC3. The polyubiquitinated protein mediates the recruitment of MAP3K7/TAK1 to IKBKG/NEMO and induces Lys-63-linked polyubiquitination of IKBKG/NEMO and subsequent activation of IKBKB/IKKB. In turn, NF-kappa-B is released from NF-kappa-B inhibitors and translocates into the nucleus where it activates the transcription of hundreds of genes involved in immune response, growth control, or protection against apoptosis. Plays also a role during engagement of the T-cell receptor (TCR) in promoting BCL10 phosphorylation and subsequent NF-kappa-B activation.
Subunit:
Found in a signaling complex consisting of at least ARHGEF2, NOD2 and RIPK2. Interacts with ARHGEF2; the interaction mediates tyrosine phosphorylation of RIPK2 by Src kinase CSK. Binds to CFLAR/CLARP and CASP1 via their CARD domains. Binds to BIRC3/c-IAP1 and BIRC2/c-IAP2, TRAF1, TRAF2, TRAF5 and TRAF6. May be a component of both the TNFRSF1A and TNRFSF5/CD40 receptor complex. Interacts with NOD1. Interacts (via CARD domain) with NOD2 (via CARD domain). Interacts with MAP3K4; this interaction sequesters RIPK2 from the NOD2 signaling pathway. Interacts with IKBKG/NEMO. The polyubiquitinated protein interacts with MAP3K7/TAK1. Interacts with XIAP/BIRC4. Interacts with NLRP10. Interacts with CARD9. Interacts with INAVA; the interaction takes place upon PRR stimulation (PubMed:28436939).
Subcellular Location:
Cytoplasm.
Tissue Specificity:
Detected in heart, brain, placenta, lung, peripheral blood leukocytes, spleen, kidney, testis, prostate, pancreas and lymph node.
Post-translational modifications:
Ubiquitinated on Lys-209; undergoes Lys-63-linked polyubiquitination catalyzed by ITCH. Polyubiquitinated with Lys-48 and Lys-63-linked chains by BIRC2/c-IAP1 and BIRC3/c-IAP2, leading to activation of NF-kappa-B. Also undergoes Met-1-linked polyubiquitination; the head-to-tail linear polyubiquitination is mediated by the LUBAC complex in response to NOD2 stimulation. Linear polyubiquitination is restricted by FAM105B/otulin, probably to limit NOD2-dependent proinflammatory signaling activation of NF-kappa-B.
Autophosphorylated. Autophosphorylation at Tyr-474 is necessary for effective NOD2 signaling. Phosphorylated. Phosphorylation at Tyr-381 by Src kinase CSK occurs in a ARHGEF2-dependent manner and is required for NOD2-dependent innate immune activation.
Similarity:
Belongs to the protein kinase superfamily. TKL Ser/Thr protein kinase family.
SWISS:
O43353
Gene ID:
8767
Database links:Entrez Gene: 8767Human
Entrez Gene: 192656Mouse
Entrez Gene: 362491Rat
Omim: 603455Human
SwissProt: O43353Human
SwissProt: P58801Mouse
Unigene: 103755Human
Unigene: 112765Mouse
Unigene: 102179Rat
Important Note:
This product as supplied is intended for research use only, not for use in human, therapeutic or diagnostic applications.
- 产品图片
Sample:
K562(Human) Cell Lysate at 30 ug
H293T(Human) Cell Lysate at 30 ug
Primary: Anti-RIP2 (bs-3546R) at 1/1000 dilution
Secondary: IRDye800CW Goat Anti-Rabbit IgG at 1/20000 dilution
Predicted band size: 60 kD
Observed band size: 45 kD
Sample:
Hela(Human) Cell Lysate at 30 ug
Primary: Anti-RIP2 (bs-3546R) at 1/1000 dilution
Secondary: IRDye800CW Goat Anti-Rabbit IgG at 1/20000 dilution
Predicted band size: 60 kD
Observed band size: 60 kD
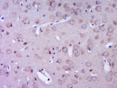
Paraformaldehyde-fixed, paraffin embedded (Mouse brain); Antigen retrieval by boiling in sodium citrate buffer (pH6.0) for 15min; Block endogenous peroxidase by 3% hydrogen peroxide for 20 minutes; Blocking buffer (normal goat serum) at 37°C for 30min; Antibody incubation with (RIP2) Polyclonal Antibody, Unconjugated (bs-3546R) at 1:400 overnight at 4°C, followed by operating according to SP Kit(Rabbit) (sp-0023) instructions and DAB staining.

