产品中心
当前位置:首页>产品中心Anti-phospho-LKB1(Ser428)
货号: bs-3249R 基本售价: 1580.0 元 规格: 100ul
产品信息
- 产品编号
- bs-3249R
- 英文名称
- phospho-LKB1 (Ser428)
- 中文名称
- 磷酸化丝氨酸/苏氨酸蛋白激酶抗体
- 别 名
- STK11(phospho S428); LKB1 (phospho S428); p-LKB1 (phospho S428); LKB1(phospho Ser428); p-LKB1(phospho Ser428); p-LKB1(S428); LKB1; PJS; Renal carcinoma antigen NY-REN-19; Serine/Threonine Kinase 11; Serine/threonine protein kinase 11; Serine/threonine protein kinase LKB1; Serine/threonine-protein kinase 11; Serine/threonine-protein kinase LKB1; Stk11; STK11_HUMAN; hLKB1; Liver kinase B1; LKB 1; NY REN 19 antigen; Peutz Jeghers syndrome; PJS; Polarization related protein LKB1; Serine/threonine protein kinase STK11; Serine/threonine-protein kinase XEEK1; STK 11.
- 规格价格
- 100ul/1580元购买 大包装/询价
- 说 明 书
- 100ul
- 产品类型
- 磷酸化抗体
- 研究领域
- 肿瘤 免疫学 神经生物学 信号转导 细胞凋亡 转录调节因子
- 抗体来源
- Rabbit
- 克隆类型
- Polyclonal
- 交叉反应
- Human, Mouse, Rat, Dog, Cow, Horse,
- 产品应用
- WB=1:500-2000 ELISA=1:500-1000 IHC-P=1:400-800 IHC-F=1:400-800 IF=1:100-500 (石蜡切片需做抗原修复)
not yet tested in other applications.
optimal dilutions/concentrations should be determined by the end user.
- 分 子 量
- 48kDa
- 细胞定位
- 细胞核 细胞浆 细胞膜
- 性 状
- Lyophilized or Liquid
- 浓 度
- 1mg/ml
- 免 疫 原
- KLH conjugated Synthesised phosphopeptide derived from human LKB1 around the phosphorylation site of Ser428:RL(p-S)AC
- 亚 型
- IgG
- 纯化方法
- affinity purified by Protein A
- 储 存 液
- 0.01M TBS(pH7.4) with 1% BSA, 0.03% Proclin300 and 50% Glycerol.
- 保存条件
- Store at -20 °C for one year. Avoid repeated freeze/thaw cycles. The lyophilized antibody is stable at room temperature for at least one month and for greater than a year when kept at -20°C. When reconstituted in sterile pH 7.4 0.01M PBS or diluent of antibody the antibody is stable for at least two weeks at 2-4 °C.
- PubMed
- PubMed
- 产品介绍
- background:
This gene, which encodes a member of the serine/threonine kinase family, regulates cell polarity and functions as a tumor suppressor. Mutations in this gene have been associated with Peutz-Jeghers syndrome, an autosomal dominant disorder characterized by the growth of polyps in the gastrointestinal tract, pigmented macules on the skin and mouth, and other neoplasms. Alternate transcriptional splice variants of this gene have been observed but have not been thoroughly characterized. [provided by RefSeq, Jul 2008].
Function:
Tumor suppressor serine/threonine-protein kinase that controls the activity of AMP-activated protein kinase (AMPK) family members, thereby playing a role in various processes such as cell metabolism, cell polarity, apoptosis and DNA damage response. Acts by phosphorylating the T-loop of AMPK family proteins, leading to promote their activity: phosphorylates PRKAA1, PRKAA2, BRSK1, BRSK2, MARK1, MARK2, MARK3, MARK4, NUAK1, NUAK2, SIK1, SIK2, SIK3 and SNRK but not MELK. Also phosphorylates non-AMPK family proteins such as STRADA and possibly p53/TP53. Acts as a key upstream regulator of AMPK by mediating phosphorylation and activation of AMPK catalytic subunits PRKAA1 and PRKAA2: it thereby regulates inhibition of signaling pathways that promote cell growth and proliferation when energy levels are low, glucose homeostasis in liver, activation of autophagy when cells undergo nutrient deprivation, B-cell differentiation in the germinal center in response to DNA damage. Also acts as a regulator of cellular polarity by remodeling the actin cytoskeleton. Required for cortical neurons polarization by mediating phosphorylation and activation of BRSK1 and BRSK2, leading to axon initiation and specification. Involved in DNA damage response: interacts with p53/TP53 and recruited to the CDKN1A/WAF1 promoter to participate to transcription activation. Able to phosphorylate p53/TP53; the relevance of such result in vivo is however unclear and phosphorylation may be indirect and mediated by downstream STK11/LKB1 kinase NUAK1 Also acts as a mediator p53/TP53-dependent apoptosis via interaction with p53/TP53: translocates to mitochondrion during apoptosis and regulates p53/TP53-dependent apoptosis pathways.
Subunit:
Catalytic component of a trimeric complex composed of STK11/LKB1, STRAD (STRADA or STRADB) and CAB39/MO25 (CAB39/MO25alpha or CAB39L/MO25beta): the complex tethers STK11/LKB1 in the cytoplasm and stimulates its catalytic activity. Found in a ternary complex composed of SMAD4, STK11/LKB1 and STK11IP. Interacts with p53/TP53, SMAD4, STK11IP and WDR6.
Subcellular Location:
Nucleus. Cytoplasm. Membrane. Mitochondrion. Note=A small fraction localizes at membranes. Relocates to the cytoplasm when bound to STRAD (STRADA or STRADB) and CAB39/MO25 (CAB39/MO25alpha or CAB39L/MO25beta). Translocates to mitochondrion during apoptosis.
Tissue Specificity:
Ubiquitously expressed. Strongest expression in testis and fetal liver.
Post-translational modifications:
Phosphorylated by ATM at Thr-363 following ionizing radiations (IR). Phosphorylation at Ser-428 by RPS6KA1 and/or some PKA is required to inhibit cell growth. Phosphorylation at Ser-428 is also required during neuronal polarization to mediate phosphorylation of BRSK1 and BRSK2.
DISEASE:
Defects in STK11 are a cause of Peutz-Jeghers syndrome (PJS) [MIM:175200]. PJS is a rare hereditary disease in which there is predisposition to benign and malignant tumors of many organ systems. PJS is an autosomal dominant disorder characterized by melanocytic macules of the lips, multiple gastrointestinal hamartomatous polyps and an increased risk for various neoplasms, including gastrointestinal cancer.Defects in STK11 have been associated with testicular tumors (TEST) [MIM:273300]. A common solid malignancy in males. Germ cell tumors of the testis constitute 95% of all testicular neoplasms.
Similarity:
Belongs to the protein kinase superfamily. CAMK Ser/Thr protein kinase family. LKB1 subfamily.
Contains 1 protein kinase domain.
SWISS:
Q15831
Gene ID:
6794
Database links:Entrez Gene: 6794 Human
Entrez Gene: 20869 Mouse
Omim: 602216 Human
SwissProt: Q15831 Human
SwissProt: Q9WTK7 Mouse
Unigene: 515005 Human
Important Note:
This product as supplied is intended for research use only, not for use in human, therapeutic or diagnostic applications.
LKB1基因是一种抑癌基因,也是一种丝氨酸/苏氨酸蛋白激酶.LKB1的功能主要是使细胞周期阻滞在G1期、促进细胞凋亡和调节胚胎血管形成等.LKB1基因的胚系突变是Peutz-Jeghers综合征的主要致病因素.在散发肿瘤中也发现有LKB1基因突变,其中以肺腺癌和子宫颈粘液癌突变率较高。
- 产品图片
Sample:
Jurkat(Human) Cell Lysate at 30 ug
Primary: Anti-phospho-LKB1(Ser428) (bs-3249R) at 1/500 dilution
Secondary: IRDye800CW Goat Anti-Rabbit IgG at 1/20000 dilution
Predicted band size: 48 kD
Observed band size: 48 kD
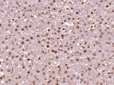
Paraformaldehyde-fixed, paraffin embedded (Rat liver); Antigen retrieval by boiling in sodium citrate buffer (pH6.0) for 15min; Block endogenous peroxidase by 3% hydrogen peroxide for 20 minutes; Blocking buffer (normal goat serum) at 37°C for 30min; Antibody incubation with (phospho-LKB1(Ser428)) Polyclonal Antibody, Unconjugated (bs-3249R) at 1:400 overnight at 4°C, followed by operating according to SP Kit(Rabbit) (sp-0023) instructions and DAB staining.
Paraformaldehyde-fixed, paraffin embedded (Mouse testis); Antigen retrieval by boiling in sodium citrate buffer (pH6.0) for 15min; Block endogenous peroxidase by 3% hydrogen peroxide for 20 minutes; Blocking buffer (normal goat serum) at 37°C for 30min; Antibody incubation with (phospho-LKB1(Ser428)) Polyclonal Antibody, Unconjugated (bs-3249R) at 1:400 overnight at 4°C, followed by operating according to SP Kit(Rabbit) (sp-0023) instructions and DAB staining.

