产品中心
当前位置:首页>产品中心Anti-Netrin 1
货号: bs-1858R 基本售价: 780.0 元 规格: 50ul
- 规格:50ul
- 价格:780.00元
- 规格:100ul
- 价格:1380.00元
- 规格:200ul
- 价格:2200.00元
产品信息
- 产品编号
- bs-1858R
- 英文名称
- Netrin 1
- 中文名称
- 轴突导向因子1抗体
- 别 名
- Netrin-1; Netrin1; Netrin 1; Ntn 1; NTN 1L; Ntn1; Ntn-1; NTN1L; Unc6.
- 规格价格
- 50ul/780元购买 100ul/1380元购买 200ul/2200元购买 大包装/询价
- 说 明 书
- 50ul 100ul 200ul
- 研究领域
- 神经生物学
- 抗体来源
- Rabbit
- 克隆类型
- Polyclonal
- 交叉反应
- Human, Mouse, Rat, Chicken, Dog, Pig, Cow,
- 产品应用
- WB=1:500-2000 ELISA=1:500-1000 IHC-P=1:400-800 IHC-F=1:400-800 IF=1:100-500 (石蜡切片需做抗原修复)
not yet tested in other applications.
optimal dilutions/concentrations should be determined by the end user.
- 分 子 量
- 64kDa
- 细胞定位
- 细胞外基质 分泌型蛋白
- 性 状
- Lyophilized or Liquid
- 浓 度
- 1mg/ml
- 免 疫 原
- KLH conjugated synthetic peptide derived from human NtN1:501-604/604
- 亚 型
- IgG
- 纯化方法
- affinity purified by Protein A
- 储 存 液
- 0.01M TBS(pH7.4) with 1% BSA, 0.03% Proclin300 and 50% Glycerol.
- 保存条件
- Store at -20 °C for one year. Avoid repeated freeze/thaw cycles. The lyophilized antibody is stable at room temperature for at least one month and for greater than a year when kept at -20°C. When reconstituted in sterile pH 7.4 0.01M PBS or diluent of antibody the antibody is stable for at least two weeks at 2-4 °C.
- PubMed
- PubMed
- 产品介绍
- background:
Netrin is included in a family of laminin-related secreted proteins. The function of this gene has not yet been defined; however, netrin is thought to be involved in axon guidance and cell migration during development. Mutations and loss of expression of netrin suggest that variation in netrin may be involved in cancer development. [provided by RefSeq, Jul 2008]
Function:
Netrins control guidance of CNS commissural axons and peripheral motor axons. Its association with either DCC or some UNC5 receptors will lead to axon attraction or repulsion, respectively. It also serve as a survival factor via its association with its receptors which prevent the initiation of apoptosis. Involved in tumorigenesis by regulating apoptosis.
Subunit:
Binds to its receptors; DCC, DSCAM, UNC5A, UNC5B, UNC5C and probably UNC5D.
Subcellular Location:
Secreted, extracellular space, extracellular matrix.
Tissue Specificity:
Widely expressed in normal adult tissues with highest levels in heart, small intestine, colon, liver and prostate. Reduced expression in brain tumors and neuroblastomas.
Similarity:
Contains 3 laminin EGF-like domains.
Contains 1 laminin N-terminal domain.
Contains 1 NTR domain.
SWISS:
O95631
Gene ID:
9423
Database links:Entrez Gene: 9423 Human
Entrez Gene: 18208 Mouse
Entrez Gene: 114523 Rat
Omim: 601614 Human
SwissProt: O95631 Human
SwissProt: O09118 Mouse
SwissProt: Q924Z9 Rat
Unigene: 128002 Human
Unigene: 660885 Human
Unigene: 39095 Mouse
Unigene: 41052 Rat
Important Note:
This product as supplied is intended for research use only, not for use in human, therapeutic or diagnostic applications.
Netrin-1是与层粘连蛋白相关的、高度保守的小分子分泌蛋白家族成员的一种。
- 产品图片
Sample: Heart (Mouse) Lysate at 30 ug
Primary: Anti- Netrin1 (bs-1858R) at 1/300 dilution
Secondary: IRDye800CW Goat Anti-Mouse IgG at 1/10000 dilution
Predicted band size: 64 kD
Observed band size: 64 kD
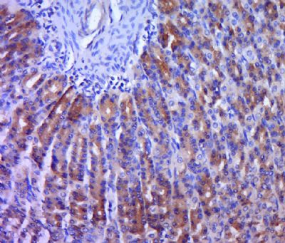
Paraformaldehyde-fixed, paraffin embedded (rat stomach tissue); Antigen retrieval by boiling in sodium citrate buffer (pH6.0) for 15min; Block endogenous peroxidase by 3% hydrogen peroxide for 20 minutes; Blocking buffer (normal goat serum) at 37°C for 30min; Antibody incubation with (Netrin 1) Polyclonal Antibody, Unconjugated (bs-1858R) at 1:400 overnight at 4°C, followed by a conjugated secondary (sp-0023) for 20 minutes and DAB staining.
Paraformaldehyde-fixed, paraffin embedded (Rat adrenal gland); Antigen retrieval by boiling in sodium citrate buffer (pH6.0) for 15min; Block endogenous peroxidase by 3% hydrogen peroxide for 20 minutes; Blocking buffer (normal goat serum) at 37°C for 30min; Antibody incubation with (Netrin 1) Polyclonal Antibody, Unconjugated (bs-1858R) at 1:400 overnight at 4°C, followed by a conjugated secondary (sp-0023) for 20 minutes and DAB staining.

