产品中心
当前位置:首页>产品中心Anti-CXCL14
货号: bs-1503R 基本售价: 1380.0 元 规格: 100ul
- 规格:100ul
- 价格:1380.00元
- 规格:200ul
- 价格:2200.00元
产品信息
- 产品编号
- bs-1503R
- 英文名称
- CXCL14
- 中文名称
- CXC趋化因子14抗体
- 别 名
- 1110031L23Rik; 1200006I23Rik; AI414372; BMAC; bolekine; BRAK; C-X-C motif chemokine 14; Chaemokine, CXC motif, ligand 14; Chemokine (C-X-C motif) ligand 14; Chemokine BRAK; CXC chemokine in breast and kidney; Cxcl14; CXL14_HUMAN; JSC; Kec; Kidney-expressed chemokine CXC; KS1; MGC10687; MGC124510; MGC90667; MIP 2 gamma; MIP-2G; MIP2G; MIP2gamma; NJAC; PRO273; PSEC0212; Scyb14; Small Inducible Cytokine B14; Small inducible cytokine subfamily B (Cys-X-Cys) member 14 (BRAK); Small Inducible Cytokine subfamily B, member 14; Small-inducible cytokine B14; UNQ240.
- 规格价格
- 100ul/1380元购买 200ul/2200元购买 大包装/询价
- 说 明 书
- 100ul 200ul
- 研究领域
- 免疫学 趋化因子 干扰素
- 抗体来源
- Rabbit
- 克隆类型
- Polyclonal
- 交叉反应
- Human, Mouse, Rat,
- 产品应用
- ELISA=1:500-1000 IHC-P=1:400-800 IHC-F=1:400-800 IF=1:100-500 (石蜡切片需做抗原修复)
not yet tested in other applications.
optimal dilutions/concentrations should be determined by the end user.
- 分 子 量
- 8.5/12kDa
- 细胞定位
- 分泌型蛋白
- 性 状
- Lyophilized or Liquid
- 浓 度
- 1mg/ml
- 免 疫 原
- KLH conjugated synthetic peptide derived from human CXCL14:51-99/111
- 亚 型
- IgG
- 纯化方法
- affinity purified by Protein A
- 储 存 液
- 0.01M TBS(pH7.4) with 1% BSA, 0.03% Proclin300 and 50% Glycerol.
- 保存条件
- Store at -20 °C for one year. Avoid repeated freeze/thaw cycles. The lyophilized antibody is stable at room temperature for at least one month and for greater than a year when kept at -20°C. When reconstituted in sterile pH 7.4 0.01M PBS or diluent of antibody the antibody is stable for at least two weeks at 2-4 °C.
- PubMed
- PubMed
- 产品介绍
- background:
This gene belongs to the cytokine gene family which encode secreted proteins involved in immunoregulatory and inflammatory processes. The protein encoded by this gene is structurally related to the CXC (Cys-X-Cys) subfamily of cytokines. Members of this subfamily are characterized by two cysteines separated by a single amino acid. This cytokine displays chemotactic activity for monocytes but not for lymphocytes, dendritic cells, neutrophils or macrophages. It has been implicated that this cytokine is involved in the homeostasis of monocyte-derived macrophages rather than in inflammation. [provided by RefSeq, Jul 2008].
Function:
Potent chemoattractant for neutrophils, and weaker for dendritic cells. Not chemotactic for T-cells, B-cells, monocytes, natural killer cells or granulocytes. Does not inhibit proliferation of myeloid progenitors in colony formation assays.
Subcellular Location:
Secreted.
Tissue Specificity:
Expressed in heart, brain, placenta, lung, liver, skeletal muscle, kidney and pancreas. Highly expressed in normal tissue without inflammatory stimuli and infrequently expressed in cancer cell lines. Weakly expressed in monocyte-derived dendritic cells. Not detected in lung or unstimulated peripheral blood lymphocytes.
Similarity:
Belongs to the intercrine alpha (chemokine CxC) family.
SWISS:
O95715
Gene ID:
9547
Database links:Entrez Gene: 511771 Cow
Entrez Gene: 9547 Human
Entrez Gene: 494467 Pig
Entrez Gene: 306748 Rat
Omim: 604186 Human
SwissProt: O95715 Human
Unigene: 483444 Human
Important Note:
This product as supplied is intended for research use only, not for use in human, therapeutic or diagnostic applications.
- 产品图片
Tissue/cell: human kidney tissue; 4% Paraformaldehyde-fixed and paraffin-embedded;
Antigen retrieval: citrate buffer ( 0.01M, pH 6.0 ), Boiling bathing for 15min; Block endogenous peroxidase by 3% Hydrogen peroxide for 30min; Blocking buffer (normal goat serum,C-0005) at 37℃ for 20 min;
Incubation: Anti-CXCL14 Polyclonal Antibody, Unconjugated(bs-1503R) 1:200, overnight at 4°C, followed by conjugation to the secondary antibody(SP-0023) and DAB(C-0010) staining
Tissue/cell: human lung carcinoma; 4% Paraformaldehyde-fixed and paraffin-embedded;
Antigen retrieval: citrate buffer ( 0.01M, pH 6.0 ), Boiling bathing for 15min; Block endogenous peroxidase by 3% Hydrogen peroxide for 30min; Blocking buffer (normal goat serum,C-0005) at 37℃ for 20 min;
Incubation: Anti-CXCL14 Polyclonal Antibody, Unconjugated(bs-1503R) 1:200, overnight at 4°C, followed by conjugation to the secondary antibody(SP-0023) and DAB(C-0010) staining
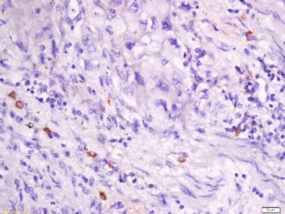
Tissue/cell: rat intestine tissue; 4% Paraformaldehyde-fixed and paraffin-embedded;
Antigen retrieval: citrate buffer ( 0.01M, pH 6.0 ), Boiling bathing for 15min; Block endogenous peroxidase by 3% Hydrogen peroxide for 30min; Blocking buffer (normal goat serum,C-0005) at 37℃ for 20 min;
Incubation: Anti-CXCL14 Polyclonal Antibody, Unconjugated(bs-1503R) 1:200, overnight at 4°C, followed by conjugation to the secondary antibody(SP-0023) and DAB(C-0010) staining

