产品中心
当前位置:首页>产品中心Anti-PDGFBB
货号: bs-1316R 基本售价: 780.0 元 规格: 50ul
- 规格:50ul
- 价格:780.00元
- 规格:100ul
- 价格:1380.00元
- 规格:200ul
- 价格:2200.00元
产品信息
- 产品编号
- bs-1316R
- 英文名称
- PDGFBB
- 中文名称
- 血小板源性生长因子BB抗体
- 别 名
- PDGF BB; PDGF-BB; platelet derived growth factor-BB; Becaplermin; C sis; FLJ12858; Oncogene SIS; PDG B chain; PDGB; PDGF 2; PDGF B; PDGF B chain; PDGF2; PDGFB; PDGFB/COL1A1 fusion gene; Platelet derived growth factor 2; Platelet derived growth factor B chain; Platelet derived growth factor beta; Platelet derived growth factor beta polypeptide; Simian sarcoma viral (v sis) oncogene homolog; SIS; SSV; V sis platelet derived growth factor beta polypeptide.
- 规格价格
- 50ul/780元购买 100ul/1380元购买 200ul/2200元购买 大包装/询价
- 说 明 书
- 50ul 100ul 200ul
- 研究领域
- 肿瘤 细胞生物 神经生物学 信号转导
- 抗体来源
- Rabbit
- 克隆类型
- Polyclonal
- 交叉反应
- Human, Mouse, Rat,
- 产品应用
- ELISA=1:500-1000 IHC-P=1:400-800 IHC-F=1:400-800 IF=1:100-500 (石蜡切片需做抗原修复)
not yet tested in other applications.
optimal dilutions/concentrations should be determined by the end user.
- 分 子 量
- 12kDa
- 细胞定位
- 分泌型蛋白
- 性 状
- Lyophilized or Liquid
- 浓 度
- 1mg/ml
- 免 疫 原
- KLH conjugated synthetic peptide derived from human PDGF-B:151-241/241
- 亚 型
- IgG
- 纯化方法
- affinity purified by Protein A
- 储 存 液
- 0.01M TBS(pH7.4) with 1% BSA, 0.03% Proclin300 and 50% Glycerol.
- 保存条件
- Store at -20 °C for one year. Avoid repeated freeze/thaw cycles. The lyophilized antibody is stable at room temperature for at least one month and for greater than a year when kept at -20°C. When reconstituted in sterile pH 7.4 0.01M PBS or diluent of antibody the antibody is stable for at least two weeks at 2-4 °C.
- PubMed
- PubMed
- 产品介绍
- background:
Platelet Derived Growth Factor (PDGF) is the major serum mitogen for cells of mesenchymal origin in humans. The biologically active protein is a dimer composed of two related polypeptides designated A and B, the dimers being connected by disulfide bonds. The PDGF protein has been implicated both directly as well as indirectly in several pathological states including neoplasia, arthritis, arteriosclerosis and bone marrow sclerosis.
Function:
Growth factor that plays an essential role in the regulation of embryonic development, cell proliferation, cell migration, survival and chemotaxis. Potent mitogen for cells of mesenchymal origin. Required for normal proliferation and recruitment of pericytes and vascular smooth muscle cells in the central nervous system, skin, lung, heart and placenta. Required for normal blood vessel development, and for normal development of kidney glomeruli. Plays an important role in wound healing. Signaling is modulated by the formation of heterodimers with PDGFA.
Subunit:
Homodimer; antiparallel disulfide-linked dimer. Heterodimer with PDGFA; antiparallel disulfide-linked dimer. The PDGFB homodimer interacts with PDGFRA and PDGFRB homodimers, and with heterodimers formed by PDGFRA and PDGFRB. The heterodimer composed of PDGFA and PDGFB interacts with PDGFRB homodimers, and with heterodimers formed by PDGFRA and PDGFRB. Interacts with XLKD1.
Subcellular Location:
Secreted. Note=Released by platelets upon wounding.
Tissue Specificity:
Expressed at high levels in the heart, brain (sustantia nigra), placenta and fetal kidney. Expressed at moderate levels in the brain (hippocampus), skeletal muscle, kidney and lung.
DISEASE:
Note=A chromosomal aberration involving PDGFB is found in dermatofibrosarcoma protuberans. Translocation t(17;22)(q22;q13) with PDGFB.
Similarity:
Belongs to the PDGF/VEGF growth factor family.
SWISS:
P01127
Gene ID:
5155
Database links:Entrez Gene: 5155 Human
Entrez Gene: 18591 Mouse
Entrez Gene: 24628 Rat
Omim: 190040 Human
SwissProt: P01127 Human
SwissProt: P31240 Mouse
SwissProt: Q05028 Rat
Unigene: 1976 Human
Unigene: 144089 Mouse
Unigene: 198230 Rat
Important Note:
This product as supplied is intended for research use only, not for use in human, therapeutic or diagnostic applications.
生长因子和激素( Growth Factor and Hormones)
血小板源性生长因子(PDGF),是由A、B两条多肽链通过二硫键连接而成的同型或异型二聚体。包括三种形式:PDGF-AA、PDGF-BB、PDGF-AB.分子量为28~35KD。
PDGF-BB也是PDGF家族成员,是一种碱性蛋白,可促进细胞分裂并促进神经元的生长, PDGF-BB的正常表达对于神经系统的发育和成熟起着一定的作用。
- 产品图片
Paraformaldehyde-fixed, paraffin embedded (Mouse brain); Antigen retrieval by boiling in sodium citrate buffer (pH6.0) for 15min; Block endogenous peroxidase by 3% hydrogen peroxide for 20 minutes; Blocking buffer (normal goat serum) at 37°C for 30min; Antibody incubation with (PDGFBB) Polyclonal Antibody, Unconjugated (bs-1316R) at 1:500 overnight at 4°C, followed by a conjugated secondary (sp-0023) for 20 minutes and DAB staining.
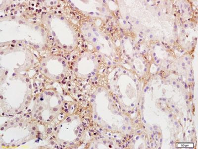
Tissue/cell: rat kidney tissue; 4% Paraformaldehyde-fixed and paraffin-embedded;
Antigen retrieval: citrate buffer ( 0.01M, pH 6.0 ), Boiling bathing for 15min; Block endogenous peroxidase by 3% Hydrogen peroxide for 30min; Blocking buffer (normal goat serum,C-0005) at 37℃ for 20 min;
Incubation: Anti-PDGF-BB Polyclonal Antibody, Unconjugated(bs-1316R) 1:200, overnight at 4°C, followed by conjugation to the secondary antibody(SP-0023) and DAB(C-0010) staining
Tissue/cell: rat brain tissue; 4% Paraformaldehyde-fixed and paraffin-embedded;
Antigen retrieval: citrate buffer ( 0.01M, pH 6.0 ), Boiling bathing for 15min; Block endogenous peroxidase by 3% Hydrogen peroxide for 30min; Blocking buffer (normal goat serum,C-0005) at 37℃ for 20 min;
Incubation: Anti-PDGF-BB Polyclonal Antibody, Unconjugated(bs-1316R) 1:200, overnight at 4°C, followed by conjugation to the secondary antibody(SP-0023) and DAB(C-0010) staining

